
▲超声组织碎化技术肝癌临床治疗发布会

▲超声组织碎化技术肝胆肿瘤圆桌论坛
2025年12月8日, 中国内地首台Histotripsy超声组织碎化肿瘤治疗设备在海南博鳌乐城国际医疗旅游先行区落地,并由清华大学附属北京清华长庚医院董家鸿院士团队牵头,在博鳌超级医院正式启动该技术针对肝脏恶性肿瘤的临床应用。此项革命性肿瘤治疗技术的引入,获得了业内关注,填补了国内相关技术空白。
首次共有两名原发性肝癌患者接受组织碎化术治疗,董家鸿院士携北京清华长庚医院副院长卢倩、肝胆胰中心张琳、杨明、盛博、黄鑫、麻醉科张海静等多名专家,会同美方专家Tarek Hassanein以及博鳌超级医院相关科室组成的多学科专家团队,对两名患者的手术适应证、禁忌证、治疗方式选择、围手术期风险等相关事宜进行了充分的沟通和讨论,并制定详细手术方案。随后,在董家鸿院士和美方专家Tarek Hassanein的指导下,北京清华长庚医院肝胆胰外科黄鑫医师主刀完成两例患者超声组织碎化术治疗,实际治疗时间小于半小时,两名患者术后均无不适主诉,化验指标基本正常,平稳出院,同时复查治疗区域肿瘤坏死明显,达到预期治疗效果。首次治疗的顺利开展也验证了组织碎化治疗无创、无热、无辐射的技术优势。

▲北京清华长庚医院董家鸿院士医疗团队术前MDT讨论

▲董家鸿院士(左一)和美方专家Tarek Hassanein(右一)共同指导黄鑫医师主刀手术(中间)

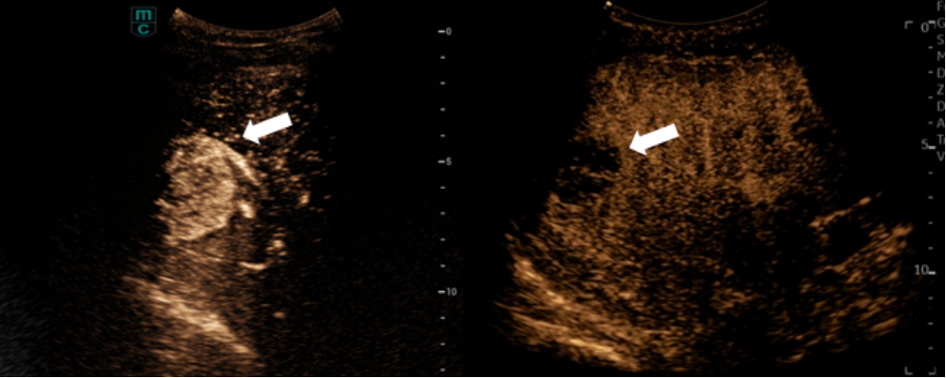
▲病灶(白色箭头)超声造影显像:治疗前明显强化(左图)、治疗后无强化(右图)
组织碎化技术(Histotripsy)是国际上前沿的恶性肿瘤无创治疗新技术,利用高强度聚焦超声准确照射肿瘤组织,在肿瘤内形成的微气泡会迅速膨胀及收缩,继而产生机械冲击波破坏及液化肿瘤细胞,对正常血管及胆管结构无影响,保证了肿瘤治疗的安全性及有效性。整个治疗过程配合先进的超声波造影技术实时精准导航,确保治疗范围聚焦于目标肿瘤,同时减低对周边组织的影响。

该技术已在全球多项临床研究中展现良好的安全性与肿瘤控制效果。2025年2月Journal of Gastrointestinal Surgery(中文名《胃肠外科杂志》)发表了覆盖全球9个中心230名经过组织碎化技术治疗的患者安全数据,结果显示:30天内严重并发症的发生率仅1.3%。2025年4月Annals of Surgery(中文名《外科学年鉴》)发表了#HOPE4LIVER临床试验最近12个月随访结果,显示组织碎化技术的局部肿瘤控制率达90%。

该技术具有以下特点:

来源:北京清华长庚医院肝胆胰中心