说起小细胞肺癌,不少人都会心里发慌。在很多人的印象里,它长得快、扩散早、容易复发转移,是肺癌里出了名的“凶险类型”,过去很长一段时间,几乎就等同于预后不好、希望渺茫。
但今天,我们想和你分享一个真实又温暖的故事。一个发生在14年前、靠勇气与精准治疗闯过生死关的奇迹。
2012年,一位49岁的男士被确诊为左肺门小细胞肺癌。那时还没有如今广泛应用的免疫治疗,他的治疗之路也并非一路顺畅,甚至一开始化疗效果并不理想。可在胡学飞主任团队不放弃的精准判断下,他接受了高难度的挽救性手术,再配合术后规范的化疗与放疗,最终成功战胜病魔。
一晃14年过去,至今没有任何复发迹象,真正实现了临床治愈。
这个病例告诉我们:哪怕面对小细胞肺癌这样的强敌,只要治疗策略精准、多学科协作到位,长期生存、甚至走向治愈,完全有可能实现。
下面,我们就通过这个真实案例,把小细胞肺癌治疗中最关键的核心要点,一次性讲清楚。

胡学飞主任与患者2026年沟通复查随访
病例基本信息
性别年龄:男性,确诊时49岁(2012年)
病理诊断:左肺门小细胞肺癌
初始分期:局限期,无远处转移
一线治疗:2周期新辅助化疗(EP/EC方案),疗效不佳,未达理想缩瘤效果
挽救治疗:心包内左全肺切除+纵隔淋巴结清扫(高难度根治手术)
术后辅助:完成总计4周期化疗+纵隔区域放疗+全脑预防性放疗(PCI)
治疗背景:2012年免疫治疗尚未用于小细胞肺癌
最终结局:2012—2026年,14年无复发,达到临床治愈


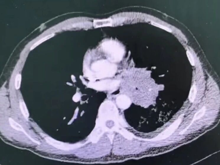
胸部ct提示左肺门巨大占位,包绕肺门主要结构
小细胞肺癌治疗
抓住这5个关键,生存率大幅提升
——小细胞肺癌≠不能开刀
选对时机、切得干净,手术就是王牌。很多人有个误区:小细胞肺癌容易转移,做手术没用、反而会“刺激”肿瘤。事实恰恰相反。
对于局限期、或新辅助治疗后病情稳定的患者,只要能做到镜下完整切除(R0切除),长期生存率会明显高于单纯放化疗。近年多项研究证实,手术患者5年生存率可达40%—60%。
这位患者正是在化疗效果不佳后,通过根治性手术,为自己赢得了治愈的基础。
位置凶险不代表不能切,能完整切干净的手术,永远值得争取。
——化疗效果不好≠没救了
挽救性手术,常常是生死转折点。不少患者和家属一看到化疗没缩小肿瘤,就心灰意冷,甚至放弃治疗。
这个病例给了我们重要提醒:化疗“效果不佳”(肿瘤稳定SD),和“肿瘤进展”(PD)完全是两回事。
对病情仍局限、没有远处扩散的患者,即便化疗不敏感,手术依然可以带来根治机会。
关键在于:新辅助化疗2—3周期后一定要及时评估。无效但病灶局限时,果断转手术或放疗,不要盲目继续化疗。
化疗不敏感不等于没希望,能不能切干净,才是决定预后的关键。
——高难度手术,是局部晚期患者的根治生路
肿瘤靠近心脏大血管,依然有机会切干净。患者肿瘤位于肺门,紧邻心脏与大血管,常规手术风险极高。胡学飞主任最终实施了心包内左全肺切除+纵隔淋巴结清扫,在扩大切除范围的同时保证安全,实现完整根治。
这类手术有两个核心前提:
外科团队具备成熟的高难度切除技术
患者心肺功能达标,术后预计肺功能可维持在安全范围
不是每家医院都能开展,但在有经验的中心,这类手术能为很多原本“被判无法手术”的局部晚期患者,打开一条真正的根治之路。
——术后治疗别“打折扣”
化疗+纵隔放疗+全脑预防放疗,是治愈铁三角。手术切的是肉眼可见的肿瘤,而放化疗清扫的是看不见的微小病灶。这位患者术后没有省略任何一步:补足化疗、纵隔放疗、全脑预防性放疗,一个都没落下。
尤其是全脑预防性放疗(PCI),意义重大:小细胞肺癌脑转移发生率高达50%—80%。对治疗后缓解良好的局限期患者,PCI可显著降低脑转移风险,明显提升长期生存率。
患者14年未出现脑转移,PCI起到了至关重要的作用。
手术是主战场,术后综合治疗是守住胜利果实的关键,一步都不能少。
——长期随访,比治疗本身更重要
守住10年、20年健康,靠的是规律复查。治愈,从来不是治疗结束就万事大吉。这位患者能安稳走过14年,离不开坚持规范复查。
通用随访建议:
术后前2年:每3—6个月复查一次
术后3—5年:每6个月复查一次
5年以后:每年复查一次
必查项目:
胸部增强CT(排查局部复发、肺内转移)
头颅增强MRI(即使做过PCI,仍需定期监测)
肿瘤标志物(NSE、ProGRP):持续升高需警惕复发可能。
治愈只是起点,规律复查,才能稳稳守住长期健康。
给患者和家属的心里话
小细胞肺癌确实凶险:生长快、易转移、历史预后不佳。但凶险,绝不等于没有希望。
这个发生在2012年的真实病例告诉我们:即便在没有免疫治疗的年代,依靠规范手术+精准化疗+规范放疗的组合方案,依然可以实现14年无复发、达到临床治愈。
而如今,我们有了更先进的免疫治疗、更精准的放疗技术、更成熟的外科手术,面对小细胞肺癌,我们比14年前更有底气、更有办法。
请一定记住这四句话:
别一听到“小细胞”就彻底绝望,局限期、能切干净的患者,长期生存率很高。
别因为化疗效果一般就放弃手术,化疗不敏感≠没救,挽救性手术往往是转折点。
别擅自省略关键治疗,术后化疗、纵隔放疗、全脑预防放疗,缺一不可。
更别忽视长期复查,规律随访,才能守住来之不易的治愈成果。
最后想对你说:
小细胞肺癌固然可怕,但比它更可怕的,是因为恐惧而放弃规范治疗。
14年前,这位患者做到了;今天的你,同样可以。
MDT领衔专家

胡学飞 教授
上海市肺科医院
主任医师
医学博士
博士生导师
上海医务工匠
上海市医师协会医学机器人专委会胸心外科委员
上海市医学会胸外科分会青委兼秘书
上海市医学会肿瘤靶分子专委会青委委员
上海医药行业协会规范化诊治专业委员会委员
上海市医师协会胸外科医师分会纵膈外科工作组副组长
中国医师协会胸外科医师定期考核工作委员会委员
中国临床肿瘤学会微创外科专委会委员
中华医学会结核分会胸外科专委会委员
中国医药教育协会医疗机器人分会常委
中国医药教育协会智能医学专业委员会胸部肿瘤精准与智能诊疗分会常委
欧洲胸外科协会会员(ESTS)
《中华胸心血管外科杂志》青年编委
上海市申康中心岗位能手
上海市青年五四奖章
日喀则人民医院最佳援藏干部
上海市肺科医院优秀医师奖 优秀党员
上海市第三十五届优秀发明选拔赛 优秀发明金奖
主持国自然面上项目1项、省部级课题5项,2项国家科技重大项目子课题负责人;发表论文50余篇,其中SCI论文40余篇;参编专著5部
年主刀手术量2000台,长期致力于局晚肺癌多学科综合治疗
2021大中华胸腔镜菁英赛肺段组上海、华东、全国第一名
MDT门诊
预约方式:通过“上海市肺科医院”公众号“预约挂号”进行预约
时间:每周五上午
地址:上海市杨浦区政民路507号门诊楼
来源:SPH-局部晚期NSCLC-MDT