
为了响应《“健康中国2030”规划纲要》,实现我国全民消化肿瘤早诊早治。《肿瘤界》微信公众平台设立“齐力荟聚-消化肿瘤频道”,聚焦消化肿瘤患者的诊断治疗。旨在报道国内前瞻性、创新性和高学术水平的关于消化道肿瘤防治的临床应用和基础研究,把握学术发展动向,促进学术交流,整体提高国内消化肿瘤防治的临床与研究水平,结合国内研究特色,以及国内临床规范制度,推动消化肿瘤防治的进步,普及推广临床规范化诊疗。
Part 01 专家访谈
访谈专家简介

张永宏
首都医科大学附属北京佑安医院
主任医师、教授、博士生导师
首都医科大学附属北京佑安医院 肝病与肿瘤介入治疗中心主任、生物医学信息中心主任
传染病相关疾病生物标志物北京市重点实验室主任
兼任:
中国肿瘤微创产学研战略联盟肝癌免疫专业委员会主任委员;佑安肝病感染病专科医疗联盟肝病微创专业委员会主任委员;中华预防医学会生物资源管理与利用研究分会常务委员;北京医师协会介入放射学专业委员会副主任委员;北京肿瘤学会介入专业委员会常务委员;荣获国家百千万人才工程-“有突出贡献中青年专家”;享受国务院特殊津贴;教育部“新世纪优秀人才”。
研究领域:感染/肿瘤免疫,肿瘤微创介入诊疗,肝癌多学科综合诊疗。承担国家级/省部级课题十余项,申报/获批专利十余项,发表学术论文近百篇。
问题一:
《原发性肝癌诊疗指南(2022年版)》提到应普及肝癌早发现、早治疗的观念,请问肝癌的早期症状有哪些?肝癌如何早期发现?
肝脏是人体非常重要的器官,具有机体代谢、分泌胆汁、解毒功能、造血功能等;同时肝脏也是沉默的器官,当肝脏炎症达75%以上时,才会出现肝功能异常,如谷丙转氨酶升高,总胆红素升高等异常指标。而肝癌早期,因局部肝脏出现恶性结节并不会影响肝脏整体功能,因此,肝癌早期没有任何明确的症状或体征,一旦患者出现症状或体征,80%以上为晚期肝癌。
肝癌治疗越早,效果越好。大量临床资料显示,直径≤5cm的小HCC治疗效果明显优于直径>5cm的大HCC,而直径≤2cm的微小HCC疗效更佳。因肝癌缺乏特异性的症状和体征,因此肝癌高危人群筛查至关重要。
我国肝癌高危人群多具有以下特点,肝炎病毒感染,乙型肝炎病毒(Hepatitis B virus,HBV)和/或丙型肝炎病毒(Hepatitis C virus,HCV)、过度饮酒、非酒精性脂肪性肝炎、其它原因引起的肝硬化、以及有肝癌家族史等。
针对高危人群,建议每6个月进行一次血清甲胎蛋白(AFP)和影像学(超声、CT或核磁)检查,有助于早期发现肝癌,早期治疗。
问题二:
近年来,靶向治疗与免疫治疗都取得了不同进展,请结合经验谈谈靶向联合免疫治疗可能为肝癌患者带来哪些获益?
自从2007年索拉非尼在进展期肝癌的数据公布,后续仑伐替尼等靶向药物的广泛应用,靶向治疗延长晚期肝癌患者的生存时间已得到公认。而随着免疫检查点抑制剂的出现,更多的联合、前辅助、后辅助治疗方案开启了肝癌多学科综合治疗时代。特别是随着IMbrave150 和ORIENT32 研究,阿替利珠单抗联合贝伐珠单抗,信迪利单抗联合贝伐珠单抗类似物已成为晚期肝癌治疗的一线治疗方案。
临床治疗中,越来越多的医生和学者发现,靶免联合对部分患者有效,而靶向和/或免疫联合介入治疗,或联合外科治疗甚至会达到肝癌临床治愈的效果,因此2021年中国学者提出了《基于免疫联合靶向方案的晚期肝细胞癌转化治疗中国专家共识(2021版)》,为更多的晚期肝癌患者带来了福音。当然,目前的联合治疗方案或转化治疗方案多是基于临床医师的经验,还需要更完善的机制探索和疗效评价,相信在不远的将来,随着基础研究的深入和肝癌全病程管理的推广,肝癌转化治疗和精准治疗不仅能延长晚期肝癌患者的总生存期(Overall Survival, OS),而且会有更多的患者获得完全缓解(Complete Response, CR)。
问题三:
仑伐替尼的获批主要基于仑伐替尼 vs 索拉非尼一线治疗不可切除肝细胞癌(uHCC)的全球大型 III 期、随机、多中心、开放标签临床研究(REFLECT)结果,该研究结果突破了肝癌一线治疗十年来的治疗难题。能否请您谈谈仑伐替尼在晚期肝癌中的疗效和安全性数据如何?以及在中国人群中的亚组结果如何?
基于REFLECT研究,我们见证了仑伐替尼在晚期肝癌的作用。仑伐替尼作用于多个靶点,包括VEGFR1-3、FGFR1-4、PDGFRα、RET、c-KIT,同时从抗血管生成、抗肿瘤增殖、防止肿瘤耐药三方面发挥抗肿瘤作用。因此,在REFLECT研究中我们看到仑伐替尼组中位无进展生存期(PFS)显著优于索拉非尼组,延长5.6个月;至疾病进展时间(TTP)延长7.3个月。在中国人群中,仑伐替尼的客观缓解率(ORR)可达43.8%(独立影像学评估)。
仑伐替尼具有抑制血管生成和肿瘤细胞增殖双重抗瘤机制,被众多权威指南一致推荐用于晚期HCC的一线治疗。
同时,仑伐替尼联合免疫检查点抑制剂临床应用广泛,具有显著生存获益,且不增加不良事件发生风险。联合免疫治疗、靶向治疗,在临床疗效和安全性上,也得到了广泛验证。
问题四:
对于可接受手术治疗的肝癌患者,在哪些情况下需要考虑进行靶向治疗?治疗模式是怎样的?
原发性肝癌治疗方法进展迅速,过去几十年取得了长足进步,包括手术和非手术治疗:手术切除、肝移植、射频消融(RFA)、微波消融(MWA)、经导管动脉内化疗栓塞术(TACE)、经导管放射性栓塞(TARE)和分子靶向药物、免疫检查点抑制剂等治疗,多元化的治疗模式和多学科的综合诊疗使原发性肝癌的局部控制率逐年上升。
手术切除是CNLC Ia期、Ib期和IIa期肝癌的首选治疗方式,但因术后1年复发率25.9%,3年复发率49.1%,致使医生和患者都迫切需要找到预防复发的治疗方案。靶向治疗因其使用方便,副作用小,抗肿瘤作用确切而成为术后高危复发人群预防复发的药物选择之一。
另外,还有前面提到的转化治疗,对于不能手术切除的患者,给予靶免联合后可达到转化要求,进而行手术切除,亦会达到肝癌临床治愈的效果。
因此,随着靶向、免疫等一系列新药物、新靶点的出现,肝癌多学科综合诊疗已从趋势成为必然。迫切需要相关的机制探索和规范的临床研究帮助改善肝癌患者预后,整体提高我国肝癌的临床治愈率和长期生存率。
Part 02 病例分享
病例提供者

扈彩霞
首都医科大学附属北京佑安医院
首都医科大学附属北京佑安医院介入中心主诊医师,副主任医师,博士
国家肿瘤微创治疗产业技术创新战略联盟委员
参与多项科研项目:十二五国家重大专项课题第三参与人《利卡汀联合射频消融治疗肝细胞癌抗复发的临床研究》、十三五国家科技支撑计划项目《CT引导微波消融微创治疗设备的集成研发与示范》、医管局培育计划项目《乙肝相关肝癌微波消融术后早期复发高危因素临床研究》
基本情况
患者胡XX(病历号31XX77),男,69岁;身高:178cm;体重:70kg
主诉:患者“肝癌切除术后一年半,发现肝内新发占位5天” 于2019-3-25来我院就诊。
现病史:患者1年半前(2017-10)体检时发现肝内占位,后就诊于我院,明确诊断为“原发性肝癌”,于2017年11月6日在我院外科行肝癌切除+胆囊切除+肝癌微波消融术,此后定期复查,5天前腹部增强CT检查发现肝内强化灶,考虑新发肿瘤,患者为进一步治疗来我院就诊。
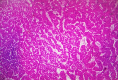
既往史:O型血,Rh阴性,平素健康状况良好。有酒精性肝硬化病史,否认其他病史。1年半前因肝癌行肝癌切除+胆囊切除+肝癌微波消融手术,术后病理结果(2017-11-13)低分化原发性肝细胞癌(见附图1)。右上腹遗留陈旧性手术疤痕,长约15cm。

附图1:手术切除术后病理结果回报(2017-11-13):低分化原发性肝细胞癌。
个人史:否认长期放射线或毒物接触史,吸烟史30年,日均吸烟15支,戒烟1年;饮酒30年(主要为白酒),3-5次/周,每次5两左右;否认冶游史。
家族史:父母已故,死因不详,育有一女,女儿体健,有3弟,体健,否认肿瘤相关家族遗传史。
初诊病史
入院实验室检查(2019-3-26)
血常规:白细胞:4.01*109/L;血红蛋白:120g/L;血小板170*109/L
肝功能:ALT19U/L;AST65U/L;TBIL17umol/L;ALB31.3g/L
凝血功能检查:PT:12.8S;PTA:82%
甲胎蛋白:3.35ng/mL
乙肝五项:HBsAg(-) 抗-HBs(+) HBeAg(-) 抗-Hbe(+) 抗-HBc( + );
乙肝病毒载量:阴性
丙肝抗体:阴性
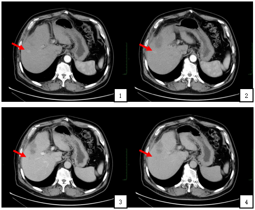
上腹部增强CT(门诊2019-3-20)结果回报:肝右叶强化结节,结合病史,考虑新发病灶;肝内多发局灶灌注异常,建议3-6个月复查;肝内囊肿,双肾囊肿;胆囊切除术后改变。

附图2:腹部增强CT显示:动脉期(图1,2)肝右叶可见高密度强化结节,直径约1.2cm,位置如箭头所示;静脉期和延迟期(图3,4)肝右叶结节呈低密度改变,位置如箭头所示。
治疗方案
根据对原发性肝癌诊疗指南和BCLC分期诊疗系统理解,结合患者经济情况、体能状况、诊疗意愿等,为患者制定了TACE序贯消融治疗,因考虑患者为手术后复发,特加入靶免联合治疗预防复发方案。
治疗经过:
1. 2019-3-28给予TACE治疗

附图3:肝动脉造影+栓塞术:肝动脉造影显示肝右叶近膈顶部可见肿瘤染色(图1箭头所示),导管超选至肝右动脉肿瘤供血血管,经导管注射碘化油约2ml,再次造影,可见肿瘤染色消失,有异常碘油沉积(图2箭头所示)。
2. 2019-4-11 给予完全消融治疗:
采用射频消融(Cool-tip单针)治疗。患者平卧位,右手抱头,术前CT扫描,进行病灶定位,设计穿刺路线;局部皮肤麻醉,配合静脉镇痛,沿定位点,分步穿刺进针,再次CT扫描,确认消融针活性端穿刺至病灶处(见附图4箭头所示),开始消融治疗,条件:功率120W,时间8分钟。术毕,边消融针道,边撤针,局部无菌敷料固定。术毕再次CT扫描,以明确是否出现即刻并发症。术中及术后密切监测患者生命体征。

附图4:肝肿瘤消融术治疗布针情况。
3. 术后给予靶向联合免疫治疗
靶向药采用仑伐替尼口服,根据体重计算,推荐剂量为12mg,每日一次口服,因患者高血压、手足综合征反应较大,减量至8mg每日一次口服,患者能够耐受。免疫制剂采用卡瑞利珠单抗,200mg/次,缓慢静点,每三周一次。患者共计使用8次卡瑞利珠单抗,因自身原因停用。定期复查,从2019-4到2021-6肝内未见新发病灶。
疗效评估
肝癌疗效评估:患者经过TACE序贯消融联合靶免治疗,肿瘤完全消失,达到完全缓解目标。
术后针对患者高危复发特点,给予靶向联合免疫预防复发治疗。目前已经动态随访两年,未再出现新发和复发病灶。
*本文仅代表专家观点,并经专家审校。