
为了响应《“健康中国2030”规划纲要》,实现我国全民消化肿瘤早诊早治,《肿瘤界》设立“齐力荟聚-消化肿瘤频道”,聚焦消化肿瘤患者的诊断治疗。旨在报道国内前瞻性、创新性和高学术水平的关于消化道肿瘤防治的临床应用和基础研究,把握学术发展动向,促进学术交流,整体提高国内消化肿瘤防治的临床与研究水平,结合国内研究特色,以及国内临床规范制度,推动消化肿瘤防治的进步,普及推广临床规范化诊疗。
专家访谈

王理伟 教授
上海交通大学医学院附属仁济医院
医学博士、二级教授、主任医师 、博士生导师
上海交通大学医学院附属仁济医院肿瘤科主任;仁济医院MDT专家委员会主任委员;上海交通大学胰腺癌诊治中心主任。
学术任职:中国临床肿瘤学会(CSCO)理事;中国临床肿瘤学会胰腺癌专家委员会主任委员;中华医学会肿瘤学分会委员兼胰腺肿瘤学组组长;中国研究型医院学会胰腺疾病专业委员会副主任委员;上海市抗癌协会副理事长兼疑难肿瘤专委会主任委员;上海医学会肿瘤专科分会副主任委员;上海市领军人才、上海市优秀学科带头人;2001至2004年美国加州大学洛杉矶分校(UCLA)和MD Anderson肿瘤中心访问研究。
担任Journal of Pancreatology副主编,Cancer Research、JHO、《肿瘤》《临床肿瘤学》等杂志编委,发表SCI论文100余篇,他引1000余次。
制定了我国首部《胰腺癌综合诊治中国专家共识》和中国临床肿瘤学会首部《CSCO胰腺癌诊疗指南》;包括自然基金重大研究计划在内的 5 项国家自然基金项目、2项重大新药创制项目和10 多项各类基金项目。
Q1:根据世界卫生组织的统计,大肠癌的发病率分别占到男性恶性肿瘤的第三位,和女性恶性肿瘤的第二位。中国大肠癌发病趋势和欧美国家相比如何?
大肠癌学名为结直肠癌,包括结肠癌和直肠癌。大肠癌本世纪在中国的发病率呈快速上升趋势,由于诊治水平提高,死亡率上升趋势得到一定缓解。上世纪九十年代,国内结直肠癌的发病率不高,但随着人民生活水平的提高,生活方式的改变,高蛋白、高脂肪的饮食习惯,缺乏足够的身体锻炼,不健康的解便习惯,以及缺乏蔬菜等纤维素摄入导致的营养结构不良,都是诱发结直肠癌的重要因素。
上个世纪结直肠癌是欧美国家发病率前三的肿瘤,国内是在近二十年才开始上升的。欧美国家已经通过积极干预和健康教育的方式成功使发病率逐渐降低,如果国内不进行积极、有效干预,发病率上升是必然趋势。另外欧美国家的经验值得借鉴,如癌前病变干预、良好生活习惯的倡导等,都是非常重要的手段。
现在国内诊疗水平不断提高,只要我们关注结直肠癌的预防和筛查,国内高发病率的现状一定能得到解决。
Q2:为早期发现肠道病变,应该做什么检查?
“早发现、早诊断、早治疗”属于二级预防,目前肠镜的应用比较普及,但要求每个人都去做肠镜检查是不现实的,所以我们通常选择筛查的方法。
45岁以上人群要开始关注结直肠癌的问题,定期进行大便潜血检查,如果发现潜血,须及时进行肠镜检查;若发现肠息肉、腺瘤以及一些慢性炎症,一定要规律地去做肠镜检查,以便于癌前病变的干预和“早发现、早诊断、早治疗”。
另外,有家族史的人群应将筛查年龄提前10岁。
Q3:从您的临床经验来看,目前早期的结直肠癌患者是否在手术之后都需要进行术后辅助化疗?如进行术后辅助化疗,目前术后辅助化疗的标准疗程应该是多少个月?足疗程的术后辅助化疗对于患者的意义在哪里?
根据现有数据和经验来看,结直肠癌在一期发现的情况,通常是不做术后辅助治疗的。二期具备高危因素的患者可能需要做术后辅助化疗,二期不具备高危因素的患者需要根据基因型来区别,PMMR的患者通常有高危因素,需要进行辅助治疗。
三期的患者一定需要做术后辅助治疗。根据现有数据和经验,三期患者辅助治疗的标准疗程通常为半年,两周方案12个周期或者三周方案8个周期,二期高危因素患者术后辅助治疗(如:XELOX方案)通常也是半年。
对于肿瘤患者术后辅助治疗,须记住几个原则,首先要留取基线,病人在做治疗前需要对常见转移部位进行检查,没有发现病灶,才称为辅助治疗;二是通常辅助治疗4~6周就要进行复查评估,及时评估用药方案疗效,以便于治疗方案调整。
完成足疗程的辅助治疗,对患者有减少复发和转移的可能性,也可以得到更好的生存获益。
所有的治疗都应围绕3个目标,即更好的生存空间、更好的生活质量及减少并发症。
为什么要足疗程呢?所谓化疗的疗程都是经过循证医学、前瞻性、多中心及随机性研究,得出的最合适的疗程疗效和安全性最好的试验结果。治疗过程中能否完成足疗程的治疗,取决于患者的身体状态,医生对抗肿瘤药物不良反应的处理,以及对整个治疗过程中生活质量的支持。
临床治疗应以“病人”为本,而不是以“病”为本,多关注病人的一般情况,避免给病人带来不必要的痛苦。
Q4:既往结直肠癌标准的三线治疗方案较少,2021年CSCO指南推荐TAS-102作为转移性结肠癌三线标准化疗药物,请您谈谈近年来曲氟尿苷替匹嘧啶(TAS-102)在联合治疗上有哪些高获益的治疗方案?
在过去十多年中,晚期肠癌的治疗取得了长足进步,后线治疗也已经百花齐放,二、三线治疗如何排兵布阵,是提升患者诊疗的关键。
2021版《CSCO结直肠癌诊疗指南》优先推荐曲氟尿苷替匹嘧啶作为晚期结直肠癌三线治疗的选择。联合治疗也将是新的发展方向,曲氟尿苷替匹嘧啶联合抗血管生成药和联合贝伐珠单抗的探索也取得了不错的结果。
曲氟尿苷替匹嘧啶是由两种化合物FTD(三氟尿苷)和TPI(盐酸替匹嘧啶)组合而成的化疗药物,FTD能阻断肿瘤细胞中最重要的DNA从而让肿瘤细胞没办法正常生长增殖。TPI能保护FTD不被机体降解,从而有足够量的FTD消灭肿瘤细胞。
国际多中心RECOURSE研究显示,与安慰剂组相比,曲氟尿苷替匹嘧啶显著延长既往接受≥2种标准化疗方案治疗复发或不耐受结直肠癌患者的中位OS时间(7.1个月对比5.3个月)和中位PFS时间(2.0个月对比1.7个月)。亚太TERRA研究(406例亚洲患者)证实,曲氟尿苷替匹嘧啶治疗既往接受≥2种标准化疗方案治疗复发或不耐受结直肠癌较安慰剂显著改善OS时间(7.8个月对7.1个月)和PFS时间(2.0个月对1.8个月)。研究结果显示,曲氟尿苷替匹嘧啶显著延长了患者OS和PFS;同时不良反应主要以骨髓抑制为主,手足综合征等自觉症状不良反应发生率低。
个人认为,曲氟尿苷替匹嘧啶的应用应该前移。原因如下:在一、二线治疗中,使用以5-FU/LV为基础的(m)FOLFOX方案,如果在六个月内发生疾病进展,5-FU为基础的方案应该不能继续为病人带来获益,那么在二线治疗中是否可以用TAS-102+伊立替康或者TAS-102+奥沙利铂来达到更好的治疗效果?这是非常值得我们探索的。TAS-102与5-FU的作用机制不一样,对于5-FU产生耐药的患者,TAS-102或许有希望取得好的治疗效果。希望对此能够进行一些循证医学的研究,如果得到证实,可以将TAS-102的应用推荐到二线标准治疗中,从而改善更多患者的治疗和生存期。
病例分享
病例提供者

肖秀英 教授
上海交通大学医学院附属仁济医院
肿瘤学博士、主任医师、硕士生导师
上海交通大学医学院附属仁济医院肿瘤科副主任
学术任职:CSCO胃癌专业委员会委员;上海市医学会肿瘤专科分会委员兼秘书;上海市抗癌协会青年理事;中国研究型医院学会消化道肿瘤专业委员会青年委员;中国医药教育协会胸部肿瘤专业委员会委员;上海市抗癌协会肿瘤免疫治疗专业委员会委员;上海市抗癌协会胃癌分子靶向与免疫治疗专业委员会委员;上海市抗癌协会姑息治疗委员会委员;上海市抗癌协会传统医学委员会委员;上海女医师协会肺癌专业委员会委员。
基本情况与手术治疗
患者男性,68岁。
2016-4 体检发现肝占位,肝脏CT提示:肝右叶后段占位,性质待定。PET/CT提示:直肠壁增厚,FDG代谢增高,考虑肿瘤性病变。
【手术】2016-5-11 全麻下行腹腔镜辅助直肠肿瘤根治术(Dixon)+腹腔镜特殊肝段切除+胆囊切除术。
【术后病理】“直肠”腺癌I级(隆起型 2.5cm×2cm×1cm),侵至黏膜下层。肿瘤平面肠壁淋巴结(2/5)见癌转移。“上、下切缘”、剥离面,均阴性。“右肝”转移性腺癌II级(3.5cm×3cm×1.7cm),切缘阴性。免疫组化:“直肠”乳头状腺癌I级。CK7(-)、CK20(+)、Ki-67(5%)、P53(-)、 MLH1(+)、PMS2(+)、MSH2(+)、MSH6(+)。“右肝”转移性腺癌II级:CK7(-)、CK20()、Ki-67(1%)、P53(-)。符合肠型腺癌转移。
【基因】KRAS基因野生,NRAS基因G12D/S见突变。PIK3CA、BRAF基因未见突变。
【分期】pT1N1bM1,IV期。
初始治疗:FOLFIRI
【术后初始治疗:FOLFIRI】2016-6-13 至2016-11-7 术后当地医院行6周期FOLFIRI方案化疗(具体不详)。
2016-7 CEA 1.2,CA199 13.26,规律复查,疗效评估稳定 DFS 26m 。

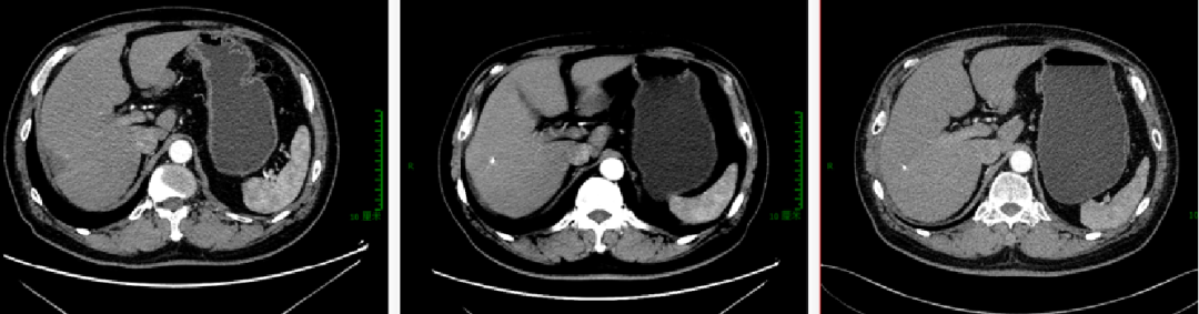
图示:2017-4 “直肠CA根治术+肝转移瘤切除术+胆囊切除术”后改变,直肠吻合口旁肠壁稍增厚;肝右后切缘旁低密度灶,较前片(2016-12-13)有所缩小,请结合临床并随访。
一线治疗:XELO
【XELOX】2017-3 起出现肿瘤指标进行性升高 CEA 8.91,CA199 98.5。
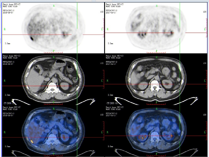
2017-4 我院PET-CT未见明确复发转移病灶:吻合口未见FDG代谢异常,肝右叶转移瘤术后,残余肝实质内FDG代谢未见异常,两肺野多发微小结节影,FDG代谢未见明显增高,考虑良性。
患者复发依据不足,但强烈要求化疗,2017-5-22 至 2017-10-9 当地医院继续行6周期XELOX化疗。后定期复查,肿瘤指标进行性升高。
2018-3-20 完善循环肿瘤细胞CTC检测提示单个CTC 7,其中细胞团 0,大细胞CTC 1,小细胞CTC 6。
2018-4 入院评估病情稳定。
二线治疗:FOLFIRI+贝伐珠单抗
【贝伐珠单抗+FOLFIRI】2018-8-7 我院PET-CT提示直肠癌术后,吻合口FDG代谢未见异常,肝右叶转移瘤切除术后,脂肪肝,残余肝右后叶下段包膜下结节样FDG代谢异常增高(SUVmax 9.9),较前片新增,考虑肿瘤转移可能性大,双肺多发微小斑点、结节影,其中右肺上叶前段、后段两枚小结节(较大者直径约5mm,SUVmax 1.3)较前片新增,考虑为转移瘤可能。


2018-8-11 至 2018-10-11 日予以二线第1-12周期FOLFIRI方案联合贝伐珠单抗靶向治疗,4,8,12疗程评估后稳定。
2019-5-10 至 2020-2 予以维持治疗,具体:贝伐珠单抗 + 卡培他滨,Q21d,PFS1=16m。

三线治疗:奥沙利铂+雷替曲塞+贝伐珠单抗
【贝伐珠单抗+雷替曲塞+奥沙利铂】2020-2-11 上腹部MRI增强:“直肠CA根治术+肝转移瘤切除术+胆囊切除术”后改变,与前片(2019-5-9)相仿,肝右叶局部强化欠均,但未见明确的占位性病变。
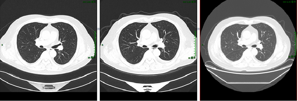
2020-3-6 胸部CT:两肺多发小斑点灶及微小结节,直径约3-10mm,较前(2019-11-05)部分增大。评估病情PD。
2020-4-17 至 2020-8-13 予三线第1-6疗程奥沙利铂、雷替曲塞联合贝伐珠单抗化疗。


四线治疗:伊立替康+PD-1
【伊立替康+信迪利单抗】2020-10-21、2020-11-16 我院肿瘤介入科行肝肿瘤微波消融术。
2020-11-10 上腹部平扫增强评估肝右叶病灶增大。
2020-11-16 肿瘤指标显著升高CA199 1020U/ml,CA50 442U/ml。
2020-12-4、2020-12-26 行四线第1-8周期伊立替康联合信迪利单抗免疫治疗,同时行肝肿瘤射频消融术,期间疗效评估SD。

五线治疗:TAS-102+呋喹替尼
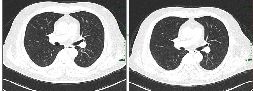
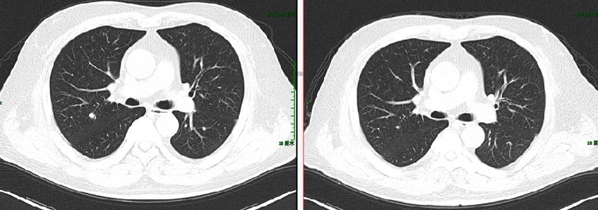
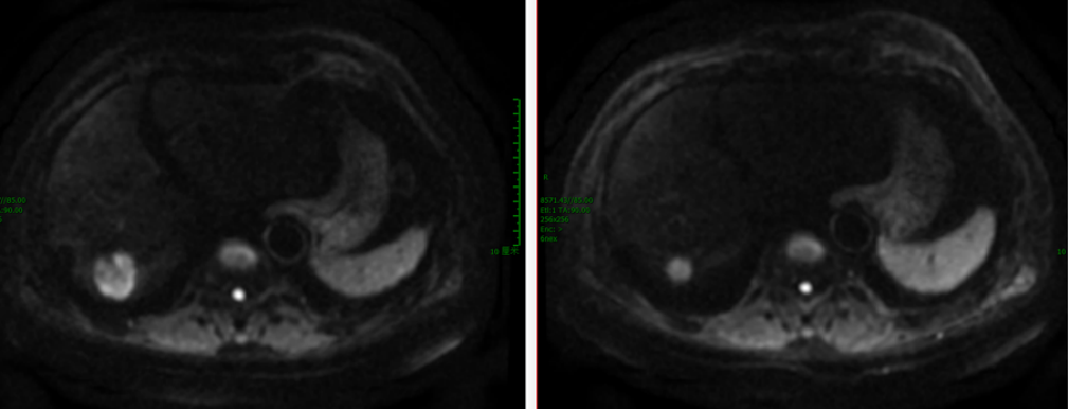
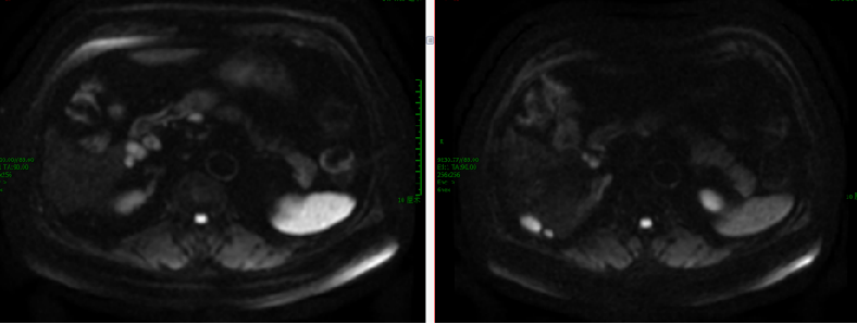
【TAS-102+呋喹替尼】2021-6-11 上腹部MRI提示“直肠CA根治术+肝转移瘤切除术+胆囊切除术”后改变,肝右叶肿瘤介入术后,肝右叶部分病灶较前(2020-12-2)范围缩小,部分病灶较前为新增,肝门区及后腹膜处多发肿大淋巴结,肝右叶见结节、斑片灶,较大者直径约35mm;胸部CT提示右肺上叶斜裂胸膜下结节,较前(2021-2-10)病灶内小空泡消失。两肺多发小斑点灶及小结节,较前部分有所减小,期间有肿瘤标志物进行性升高。
2021-7-8行五线7疗程呋喹替尼+TAS-102治疗,期间疗效评估SD(缩小)。


继续【TAS-102+呋喹替尼】口服。
2021-12-7 胸部CT:右肺上叶斜裂胸膜下结节,较前缩小。
腹部MRI:肝右叶部分凝固性坏死边缘伴火星,后腹膜肿大淋巴结。


*本文仅代表专家观点,并经专家审校。