
为了响应《“健康中国2030”规划纲要》,实现我国全民消化肿瘤早诊早治,《肿瘤界》设立“齐力荟聚-消化肿瘤频道”,聚焦消化肿瘤患者的诊断治疗。旨在报道国内前瞻性、创新性和高学术水平的关于消化道肿瘤防治的临床应用和基础研究,把握学术发展动向,促进学术交流,整体提高国内消化肿瘤防治的临床与研究水平,结合国内研究特色,以及国内临床规范制度,推动消化肿瘤防治的进步,普及推广临床规范化诊疗。
专家访谈
专家简介

朱春荣教授
Q1:在中国,结直肠癌属于发病率和死亡率较高的瘤种。近年来,国家疾病防控策略和多级预防措施有效落实,随着筛查和诊疗技术的不断进步,患者生存期得以延长,请您谈谈未来国内结直肠癌领域在预防和筛查方面,还有哪些值得进一步改善和落实的工作?
随着我国医疗技术水平的提升和专家学者的努力,我国结直肠癌发病率和死亡率上升态势有所延缓。结直肠癌的发病随着年龄的增长而增加,大约有90%的病例都是发生在50岁以上的人群中。
早期结直肠癌往往没有明显症状,等到出现明显症状就医时,诊断为晚期癌症的比例就会相当高。而癌症的治疗效果和生存时间,与发现的早晚密切相关。发现得越早,治疗效果越好,生存期也越长。早期结直肠癌患者的5年相对生存率可以达到90%,晚期结直肠癌患者的5年相对生存率则只有10%左右。此外,早期发现结直肠癌也能够减轻患者的医疗支出负担。
因此,从肿瘤的预防来看,我们采取三级预防策略。一级预防就是针对病因的预防,在疾病还没发生时,针对致病因素,采取相应措施,例如通过健康科普,提高人们对癌症的认识,养成积极主动的健康意识。二级预防,就是所谓的“三早”预防,即早发现、早诊断、早治疗,能够防止或减缓疾病的发展,包括胃肠镜检查、粪便隐血试验、粪便基因检测等。三级预防是临床预防,患病后及时就医,进行对症治疗、康复治疗。
目前,我国居民更重视的是三级预防的临床预防,对于病因预防、“三早”预防的认识仍然有所欠缺。从疾病防控角度来讲,关口前移,重视一级预防、二级预防,尽早发现肿瘤,尽早处理,有着更为重大的意义。因此亟需广泛开展肿瘤早筛基地等类似的政策工程,推广肿瘤早筛理念,通过社会各界、各级医疗机构协调配合,引起居民对肿瘤早筛的广泛关注并积极落实,共同促进结直肠癌的防控工作,实现有效控制我国结直肠癌发病率和死亡率的目标。
Q2:结直肠癌复发转移是患者谈之色变的概念。但随着治疗手段的不断进步,许多结直肠癌复发转移同样可能治愈,寡转移就是其中一种可能治愈的复发转移类型。请您谈谈结直肠癌寡转移的治疗策略。
寡转移是结直肠癌复发转移的一种特殊形式,是一种潜在可治愈的状态,即虽然发生了复发转移,但病变尚局限于局部,只要尽早发现局部的孤立性转移病灶,就能够通过手术切除来根治。手术治疗在结直肠癌寡转移灶的治疗中占有重要位置,是肿瘤根治的最佳手段,在结直肠癌寡转移的整个治疗中至关重要。
基于对患者病情的充分评估,结直肠癌寡转移患者的治疗策略一般分为两种情况:可以将手术治疗作为初始治疗方案的患者,能够直接通过手术切除来根治;不能将手术治疗作为初始治疗方案的患者,可以通过转化治疗使肿瘤逐渐缩小,进而通过手术治疗或局部治疗来达到根治的效果。
针对结直肠癌寡转移患者,临床医生应综合应用现有治疗手段和方法,充分了解肿瘤特点,评估患者自身条件,通过多学科团队共同努力制定最佳的初始治疗方案,在治疗过程中进行动态观察和评估。
Q3:2022年曲氟尿苷替匹嘧啶(TAS-102)+贝伐珠单抗被CACA-RC指南推荐作为晚期不可切除直肠癌一线治疗方案,请您谈谈近年来TAS-102主要有哪些突破性的研究进展奠定了此方案的指南推荐地位。
RECOURSE研究是TAS-102的国际多中心Ⅲ期临床研究,显示TAS-102较安慰剂显著延长中位OS时间(7.1个月对比5.3个月)和中位PFS时间(2.0个月对比1.7个月),死亡风险和疾病进展风险分别降低32%和52%。此后,有众多中国临床专家参与的TERRA研究,证实了TAS-102在亚洲人群的安全性和有效性,TERRA研究重复出了RECOURCE研究的结果,TAS-102组患者的中位OS时间(7.8个月对比7.1个月)和PFS时间(2.0个月对比1.8个月)得到显著改善,死亡风险和疾病进展风险分别降低21%和57%。这两项关键研究成功改写了包括ESMO、NCCN、CSCO等中外权威指南的推荐。
TAS-102良好的安全性和耐受性为其与其他药物联合奠定了基础。DANISH研究将TAS-102与贝伐珠单抗联合用于mCRC二线及以上治疗,发现联合组较TAS-102单药组疗效更好,中位PFS时间(4.6个月对比2.6个月)和OS时间(9.4个月对比6.7个月)显著延长,且联合组安全性可控,未出现非预期的不良反应。
鉴于TAS-102联合贝伐珠单抗在直肠癌后线治疗的良好结果,该方案用于一线治疗是否可行的话题一直备受关注。2021年ASCO-GI大会报告了一项研究,该研究纳入的是经研究者判断不能耐受强烈治疗的患者和老年患者,既往未接受过化疗,肿瘤负荷较低,证实TAS-102+贝伐珠单抗较卡培他滨+贝伐珠单抗显著延长中位PFS时间(9.23个月对比7.82个月)和OS时间(22.31个月对比17.67个月)。TAS-102+贝伐珠单抗被CACA-RC指南推荐作为晚期不可切除直肠癌一线治疗方案,将为国内不适合强烈治疗的mCRC患者及老年患者带来了新的希望,其疗效与生存获益值得期待。
Q4:多学科协作(MDT)团队在结直肠癌诊疗中发挥重要作用,国内外数据均显示其对患者的PFS和OS能产生有益影响。请您谈谈多学科协作团队对结直肠癌患者的整体治疗还有哪些帮助?
一方面,结直肠癌患者初始治疗方案的制定是非常重要的,应尽可能为患者带来最佳的治疗获益。肿瘤是全身性疾病,因此需要包括外科、内科、放射科、影像科、介入科、病理科、营养科等多科室通力协作,在疾病检测、诊断、治疗等环节密切交流协商、互相学习、取长补短,保证治疗过程各项工作有序进行。多学科共同参与制定“以病人为中心”的治疗方案,整体提高治疗环节的高效性、严谨性、准确性,避免在治疗过程中为患者带来不必要的伤害。
另一方面,日常工作中医生通常更多关注疾病本身,而忽略患者的心理问题,这可能会引发一系列问题。因此在临床工作中医生要更多关注患者身心,对患者进行常规心理疏导,引导患者树立战胜疾病的信心,这将增加患者治疗的依从性,对肿瘤治疗起到良性促进作用。
病例分享
专家简介

熊峰教授
基本情况
基本信息:患者女,63岁,身高158cm,体重57kg。
主诉:体检发现肝脏占位1周。
既往史、个人史:有甲状腺手术史30余年(自述腺瘤切除),无高血压、糖尿病、冠心病等病史。
家族史:无。
初诊病史
患者于2015年5月因“饮食过量”后出现恶心、呕吐,在当地医院查B超发现肝脏多发占位。
体格检查:巩膜无黄染,腹部无明显压痛。
辅助检查:CEA>1000.00ng/ml。
胸腹CT:肝脏多发占位性病变,性质待定。
肠镜示:距肛门57cm肿块,肠腔狭窄,肠镜无法通过。
病理:(结肠肝曲)腺癌。

治疗方案
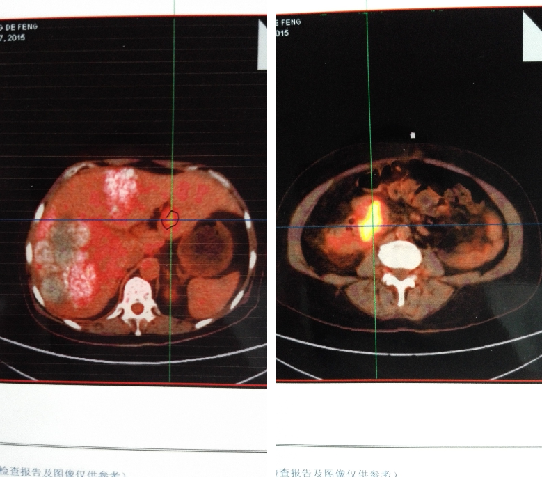
患者左肝为转移病灶,但右肝病灶性质无法明确,进一步行PET-CT检查:
①结肠肝曲肠壁明显增厚,FDG代谢增高,转移可能大;肠周数枚小结节,FDG代谢目前未见明显增高;肝左叶外侧段局灶性FDG代谢增高,MT不除外。
②肝脏明显增大,两叶广泛颗粒样钙化伴局部囊性密度影,考虑肝棘球蚴病可能。

至中国疾病预防控制中心寄生虫病预防控制所查血清检验抗体均为阴性。

至我院MDT,考虑为左右肝多发广泛转移,属不可切除肝转移患者,治疗以姑息化疗为主,如经济条件允许联合靶向治疗。
实际治疗情况:患者行基因检测,KRAS、NRAS野生型,行西妥昔单抗+FOLFIRI方案化疗。
疗效评估
治疗后,原发灶及转移灶明显缩小,肿瘤标志物明显下降。

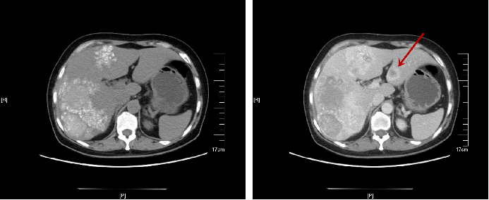
△治疗前

△治疗后
右肝转移灶明显缩小,左肝转移灶消失,残肝体积足够,意外达到成功转化,分期行原发灶及肝转移根治性切除手术,且原发灶和转移灶术后病理均达到pCR。术后继续完成围手术期化疗,并定期随访,现无瘤生存。
*本文仅代表专家观点,并经专家审校。