
为了响应《“健康中国2030”规划纲要》,实现我国全民消化肿瘤早诊早治,《肿瘤界》设立“齐力荟聚-消化肿瘤频道”,聚焦消化肿瘤患者的诊断治疗。旨在报道国内前瞻性、创新性和高学术水平的关于消化道肿瘤防治的临床应用和基础研究,把握学术发展动向,促进学术交流,整体提高国内消化肿瘤防治的临床与研究水平,结合国内研究特色,以及国内临床规范制度,推动消化肿瘤防治的进步,普及推广临床规范化诊疗。
一、专家访谈
专家简介

1. 肝癌作为肝炎最严重的结局之一,“主动筛查”有助于实现肝癌的早诊早治,降低危害。现有的肝癌筛查手段有哪些?
原发性肝癌是目前我国第4位常见恶性肿瘤及第2位肿瘤致死病因,而且世界上将近一半(45.3%)的肝癌发生在我国,严重威胁我国人民的生命和健康。原发性肝癌主要包括肝细胞癌(HCC)、肝内胆管癌(ICC)和混合型肝细胞癌-胆管癌(cHCC-CCA)3种病理学类型。有如此高的致死率其中一个重要的原因是原发性肝癌发病隐匿,早期无特异性临床表现,往往发现时已进展到晚期,错过了最佳治疗时机!因此,早期发现、早期诊断,可以为患者争取获得根治性治疗的宝贵时机,提高肝癌患者的生存率。
筛查前首先需要了解哪些人属于高危人群,根据国家卫生健康委员会最新制定的《原发性肝癌诊疗指南(2022年版)》显示,在我国肝癌高危人群主要包括:具有乙型肝炎病毒和/或丙型肝炎病毒感染、过度饮酒、非酒精性脂肪性肝炎、其他原因引起的肝硬化以及有肝癌家族史等人群,尤其是年龄>40岁的男性。
那么筛查手段有哪些呢?当前首选肝脏超声显像和血清甲胎蛋白(AFP)进行肝癌早期筛查,对于筛查阳性患者辅助以磁共振成像、CT等检查作为补充,建议高危人群至少每隔6个月进行1次检查,通过实现社区、医院一体化筛查新模式,做到应筛尽筛、应治早治。
2. 肝癌治疗通常以外科治疗为主,能够为患者提供更长的生存,但术后复发一直是困扰外科医生的难题。长久以来,肝癌外科治疗缺乏公认有效的术前新辅助治疗方案和术后辅助治疗方案来提高肝癌生存率。随着局部治疗和药物治疗的不断进步,肝癌外科治疗迎来了新辅助治疗和辅助治疗的机遇。请您谈谈近年来肝癌领域术前新辅助治疗和术后辅助治疗有哪些研究进展?
术前新辅助治疗:对于HCC的术前新辅助治疗主要是指对可切除、具有高危复发风险的HCC患者进行抗病毒治疗、术前放疗、介入治疗、靶向治疗、免疫治疗等干预措施,减轻肝脏炎症反应、缩小肿瘤、及早消灭不可见微小病灶、增加手术切缘,通过新辅助治疗将肿瘤学特征较差的肝癌转化为肿瘤学特征较好的肝癌,从而减少术后复发、延长生存期的治疗策略。现阶段支持HCC新辅助治疗概念的研究相对较少,新辅助治疗在HCC治疗中的作用尚不明确,目前的指南也未明确推荐任何一种HCC新辅助治疗方式。但是当前已经有多项研究证实了新辅助治疗的可行性及价值。
当前针对HCC的新辅助治疗方案有:(1)介入治疗包括经导管动脉栓塞化疗(TACE)及肝动脉灌注化疗(HAIC)。TACE是通过导管对HCC的供血动脉注入栓塞剂和化疗药物使肿瘤组织缺血坏死的治疗方式,肿瘤周围的肝实质由于存在肝动静脉和门静脉循环供应而不受影响。TACE作为一种有效的局部治疗方式,已成为HCC非手术治疗的常用方法之一。但其对于可切除肝癌,术前TACE并不能改善患者生存。基于 FOLFOX 方案的HAIC治疗摒弃栓塞剂,产生的炎症反应较小,在新辅助治疗领域已有一定进展。(2)放射治疗(以下简称放疗),由于存在放射性肝病风险以及HCC对放射性的有限敏感性,传统上一直避免在肝脏进行放疗。然而,随着现代精准放疗技术的进步,放疗已经逐步发展成为HCC治疗的一种有效手段,放疗有外放疗和内放疗两种形式,针对特定患者经过讨论和评估后也可以对肝癌患者开展放疗。(3)系统治疗,主要是应用于晚期患者,以减轻肿瘤负荷,提高生活质量,延长生存时间。自2007年索拉非尼上市并应用于一线治疗无法手术切除的HCC患者以来,一大批药物被批准上市,或者已经开展临床试验,其中抗PD-1药物为HCC患者打开了免疫治疗的大门,目前已经多项研究显示,免疫治疗联合仑伐替尼等靶向药物或其他治疗的方案给患者带来更好的生存率。但不可否认的是其带来的免疫毒性和手术延迟等问题还未解决,仍然需要进一步的大规模临床研究确定最佳方案及治疗时机。
术后辅助治疗:术后辅助治疗以减少复发为主要目标,但其在HCC中的价值尚未完全明确。首先,国内外诊疗指南在HCC辅助治疗上的推荐意见存在较大差异。国内指南对多种辅助治疗手段进行了推荐,包括TACE、抗病毒治疗及中药制剂治疗(槐耳颗粒)等;而国外指南除了抗病毒治疗之外几乎未做任何推荐。其次,目前对HCC术后复发高危人群的界定较为模糊,辅助治疗的受益人群尚需进一步明确。尽管目前已有如分子靶向药物、免疫治疗等多种辅助治疗手段被证实可降低HCC的复发风险并改善预后,但尚缺乏进一步的论证及标准的辅助治疗方案。
3. 肝功能异常是导致无法顺利肝癌转化的常见原因之一,而许多转化治疗手段也可能进一步加重肝损伤。我们在肝癌转化过程中如何做好肝功能的维护?
肝功能异常也是导致无法行手术切除的常见原因之一。肝功能异常的治疗首先是病因治疗,同时辅以保肝、降酶、抗炎、修复肝细胞膜以及胆管损伤等治疗。肝功能损害严重,甚至有肝衰竭倾向者,则需要接受补充白蛋白提高血浆胶体渗透压,予以血浆、维生素K1以及凝血因子等对症支持治疗。
HBV相关肝癌患者,建议先予抗病毒及保肝治疗,待肝功能好转后方可手术切除,以提高手术安全性并降低术后肿瘤复发率。由于免疫治疗可能存在诱导HBV激活的风险,应全程接受抗病毒药物治疗,监控HBV-DNA水平,并谨慎选择包含免疫检查点抑制剂的转化治疗方案。对于已确证的HCV相关HCC,转化过程中应检测HCV RNA,根据指南进行DAA抗病毒及护肝治疗。
肝毒性是肝癌患者免疫检查点抑制剂和联合靶向治疗的常见不良反应之一。在接受治疗期间,如果患者出现肝功能异常,需要考虑免疫检查点抑制剂所致药物性肝损伤。根据相应诊疗指南推荐的免疫检查点抑制剂肝损伤分级标准及对应处理,整个治疗过程中,严密监测肝功能,根据肝功能异常程度,合理使用保肝药物。
4.2018年仑伐替尼在国内上市以来,为国内肿瘤患者带来了新的治疗机遇,已成为肝癌一线治疗的基石。请您谈谈仑伐替尼在中晚期肝癌患者治疗中的疗效和安全性数据如何?
当前随着靶向、免疫治疗药物的蓬勃发展,肝癌治疗领域发生了“翻天覆地”的变化。仑伐替尼是2018年获批上市的分子靶向药物,当前已进入国内外众多指南推荐的肝癌治疗用药,它作为多靶点TKI,同时抑制FGFR和VEGFR,更强抑制血管生成和肿瘤细胞增殖,同时它不仅具有抗肿瘤活性的功能,也具有调节免疫微环境的能力,在肝癌患者的总生存率、无病生存率等数据中表现优异。而且多项临床研究显示与抗PD-1联合治疗具有潜在协同抗肿瘤的作用。
仑伐替尼常见不良反应有高血压、疲乏、腹痛、腹泻、体重减轻、出血等,严重不良反应与同类药物相比发生率较低,在中国人群中总体耐受性良好。
二、病例分享
专家简介

1 基本情况
基本信息:彭XX,男,62岁,175cm,64kg。
主诉:右肝原发性肝腺癌系统联合治疗5+月
既往史、个人史:无特殊
家族史:30+年前诊断“乙肝”,未系统治疗,余无特殊。
专科检查:皮肤、巩膜无黄染,腹部平坦,腹壁静脉无显露,腹壁柔软,腹部无压痛,无反跳痛,肝脏质地较硬,胆囊无肿大。
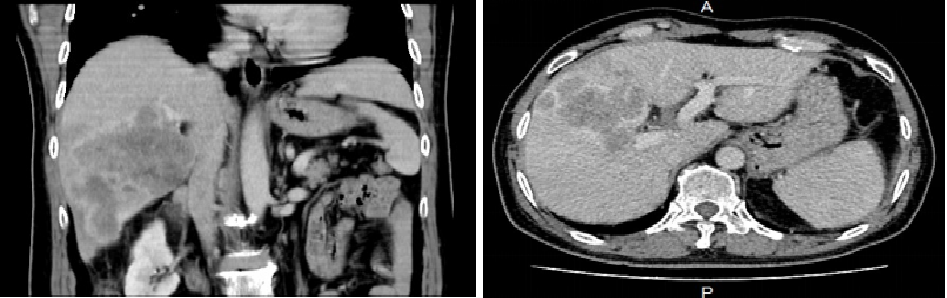
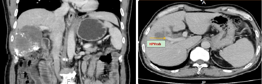
辅助检查:上腹部CT增强扫描2021-05-28诊断意见:1、肝右叶占位考虑原发性肝癌,建议穿刺活检。2、肝内多发低密度影,考虑转移。


血常规、生化及凝血功能、AFP值、心肺功能无异常。
肝包块穿刺病理示:免疫组化标记结果为上皮源性恶性肿瘤,倾向腺癌。
诊断:原发性肝腺癌CNLCIIIa期。
综合治疗前肝脏肿瘤穿刺病理报告:

2 治疗经过
一期转化医学治疗:
TACE——奥沙利铂150mg+吡柔比星40mg(超选肝动脉灌化);
靶向——口服仑伐替尼8mg,qd;
PD-1——卡瑞利珠单抗200mg,ivgtt,q3w。
证据支持:
原发性肝癌诊疗指南(2022年版)

肝癌转化治疗中国专家共识(2021版)

基于免疫联合靶向方案的晚期肝细胞癌转化治疗中国专家共识(2021版)

系统治疗6周期后影像复查:
上腹部CT增强扫描2021-11-29诊断意见:1、肝癌并肝内多发转移治疗后改变,病灶较前缩小,其内见多发碘油沉积。建议定期复查。
上腹部MRI增强(普美显)2021-11-29诊断意见:1、肝右叶肝细胞肝癌并肝右叶多发转移治疗后改变,肝周少量积液。2、胆囊炎征象。
疗效评价:PR RECIST标准(实体瘤)及肿瘤化疗疗效评价标准。


二期手术方案
剖腹探查术+右肝前叶肿瘤切除术+胆囊切除术(手术历时2时37分。出血量100ml)。
术前肝脏3D重建ICG 15分钟滞留率5.7%。


术后肿瘤标本病理报告:

3 随访
术后规律随访,继续口服仑伐替尼及抗病毒治疗药物。

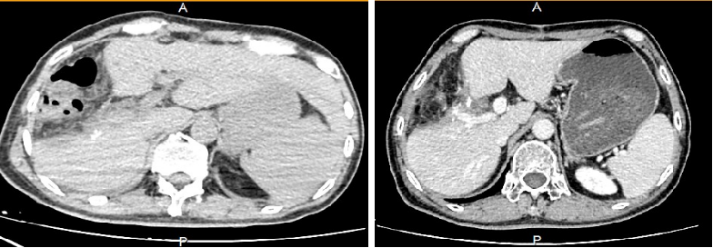
△出院前腹部CT平扫与术后1个月腹部CT增强
*本文仅代表专家观点,并经专家审校。