
为了响应《“健康中国2030”规划纲要》,实现我国全民消化肿瘤早诊早治,《肿瘤界》设立“齐力荟聚-消化肿瘤频道”,聚焦消化肿瘤患者的诊断治疗。旨在报道国内前瞻性、创新性和高学术水平的关于消化道肿瘤防治的临床应用和基础研究,把握学术发展动向,促进学术交流,整体提高国内消化肿瘤防治的临床与研究水平,结合国内研究特色,以及国内临床规范制度,推动消化肿瘤防治的进步,普及推广临床规范化诊疗。
一、专家访谈
专家简介

01 近年来随着我国外科专家学者在结直肠癌领域的不断探索与实践,无论是手术理念还是手术技术都达到世界领先水平。请您谈谈目前国内结直肠癌外科规范化治疗和精准治疗是怎样的?
外科手术是结直肠癌治疗的重要手段。传统的外科手术、腹腔镜和机器人为代表的微创技术及早期肠癌的内镜下切除术,都是以去除肿瘤病灶为主要治疗目的,但肿瘤的复发和转移会严重影响患者的预后状况,所以外科技术需要和综合治疗进行优化组合,包括围手术期治疗、放疗、化疗、靶向治疗以及免疫治疗等。
目前,临床上根据患者所处的疾病分期来决定治疗策略。
局部进展期或中期肠癌患者,由于病灶相对较大,可手术切除难度大,术后出现局部复发的可能也相对较大,所以可能会更多采用放疗与化疗结合的方法来使肿瘤降期,以提高肿瘤的根治性切除比例,从而改善最终的治疗效果。
晚期肠癌患者,有一部分患者的原发病灶及转移病灶是可切除的,可在全程控制良好的情况下先给予药物治疗,再进行原发灶和转移灶的同期切除或分步切除;特别晚期的患者如果病灶不可切除,更多会采用药物治疗来控制,除非患者出现出血性梗阻或穿孔等急症,需要外科手术进行干预。
近年来,结直肠癌的治疗趋势越来越精准化和个体化:
外科治疗方面,手术切除和淋巴结清扫范围更加清晰彻底。早期的病变可以通过内镜下切除术、微创技术进行病灶切除。更精准化的外科技术能很好地减轻手术损伤,改善患者生活质量,对患者神经功能及器官的保护也有了很大的进步。
药物治疗方面,主要是依靠特定基因突变的靶点,比如KRAS、NRAS和BRAF等,根据基因突变状态、错配修复基因改变或微卫星稳定状态选择适合的靶向治疗药物和免疫治疗药物。
因此,对于结直肠癌的治疗,手术技术和药物治疗都在不断改进,规范化、精准化治疗相互结合。
02 国内结直肠癌外科治疗领域不断突破,您作为国内结直肠癌外科领域的专家,请您分享一下近年来我国在结直肠癌外科治疗领域取得了哪些进展?
一、微创与功能外科
肿瘤外科建立在现代外科的基础上,在其不断发展过程中,经历了以减轻症状、局部切除为目的的“减状手术”,广泛切除原发灶连同其周围的转移淋巴结的“根治性手术”,还有通过扩大器官切除范围与淋巴结清扫范围为患者带来治愈机会的“扩大根治术”。而近年来,随着人们对肿瘤生物学特征的了解不断加深,肿瘤外科治疗也开始注重患者的生存质量、器官功能保护及精神心理状态,肿瘤外科进入了“功能外科”时代。
肿瘤功能外科是指在手术根治肿瘤的基础上,最大限度地减少组织损伤和保留器官及其功能。它体现了肿瘤治疗中的两大原则,即“肿瘤功能外科原则”和“手术损伤效益比原则”。随着循证医学证据的积累,微创和功能外科的经自然腔道内镜手术(NOTES)、经自然腔道取标本手术(NOSES)、完整结肠系膜切除术(CME)、经肛门直肠全系膜切除术(taTME)等术式相继登上舞台,加速了患者康复进程,改善了患者的生活质量,极大地推动了结直肠肿瘤微创外科的进步革新。
二、能量、显像、器械平台
能量平台的发展是微创外科发展的先决条件。近年来,超声刀、Ligasure等具有切割、止血功能的一体化能量平台出现,大大提升术中切割与凝血效率,缩短手术时间,增加安全保障。显像平台的不断进化,从开腹手术的“低头看”,到腹腔镜手术平台、4K超高清显示器平台的“抬头看”,再到三维高清视觉机器人手术平台,能够协助医生判断肌肉组织、神经组织及肿瘤边界,保护组织和器官功能,使手术走向“可视化”“解剖化”。器械平台实现了全腔镜下的电动吻合;腹腔镜器械、缝钉及钉舱结构、电动吻合缝合器等的迭代更新,不断增加手术的安全性、确切性、高效性,提高患者的生存质量。这些平台的发展为外科学理念的发展奠定基础,为外科术式创新提供空间和可能,不断改变着外科医师的思维模式。
03 结直肠癌发展相对缓慢,在发病早期,很容易与其它非肿瘤性疾病混淆,如果能进行早筛查、早发现、早治疗即可大大降低死亡率。请您介绍一下结直肠癌的早筛手段与早筛建议?
一、早筛手段
1、便隐血检测:检查粪便中隐匿的红细胞或血红蛋白。这是应用最广的早筛技术,操作简便、迅速,价格便宜。推荐筛查周期为1年1次。
2、多靶点粪便DNA检测:多靶点粪便DNA检测是近年来逐渐成熟的粪便DNA分子检测,其对结直肠癌进展期腺瘤的筛检敏感性提升显著。高危人群可每3年或每年检查1次。
3、结肠镜检查:结肠镜是肠癌早诊的金标准,是发现结直肠肿瘤最直接的手段,其可直观地观察到肠道黏膜是否出现了癌前病变。
4、血基因(DNA)检测:血液基因检查肠癌的敏感度要比便潜血更高,且采血检查的方式也较容易被接受。
二、定期早筛
推荐意见:推荐一般人群40岁起接受结直肠癌风险评估(弱推荐,GRADE 证据分级:低),推荐评估为中低风险的人群在50~75岁接受结直肠癌筛查(强推荐,GRADE证据分级:中),推荐评估结果为高风险的人群在40~75岁接受结直肠癌筛查(强推荐,GRADE证据分级:中)。
04 今年,曲氟尿苷替匹嘧啶(TAS-102)+贝伐珠单抗被CACA-RC指南推荐作为晚期不可切除结直肠癌一线治疗方案,请您谈谈此项治疗进展将对国内结直肠癌的治疗格局产生怎样的影响?
曲氟尿苷替匹嘧啶片(TAS-102)是由三氟胸苷(FTD)与盐酸替匹嘧啶(TPI)以1:0.5的摩尔比组成的一种口服复方制剂。曲氟尿苷替匹嘧啶片(TAS-102)在中国的获批是基于国际多中心RECOURSE研究和亚太TERRA研究的结果。两项研究结果一致,曲氟尿苷替匹嘧啶片(TAS-102)治疗的DCR为44%,mOS时间为7~8个月。RECOURSE和TERRA研究的亚组分析显示,KRAS野生型患者经曲氟尿苷替匹嘧啶片(TAS-102)治疗的生存获益显著,死亡风险较对照安慰剂降低23%~42%。
晚期转移性结直肠癌的一线标准化疗方案在国内外指南中均是以奥沙利铂或伊立替康为基础的即FOLFOX、CapOX或FOLFIRI方案,在此基础上,可以根据患者基因型和原发灶部位联合西妥昔单抗或者贝伐珠单抗,但是,依旧有部分患者身体状况无法耐受这种强度化疗,少数患者因为高敏可能出现药物过敏,针对这一类患者,治疗方案的选择非常有限且预后情况并不理想,对于这类患者国内外的标准治疗首选卡培他滨或5-氟尿嘧啶联合贝伐珠单抗。
2022年CACA-RC指南基于TASCO1研究结果,对于不能耐受卡培他滨或氟尿嘧啶的患者或不能耐受强度治疗的晚期肠癌患者可以考虑选择曲氟尿苷替匹嘧啶片(TAS-102)+贝伐珠单抗方案。2021年在ASCO-GI大会中报告了TASCO1研究进展,TASCO1是一项针对既往未接受过治疗、无法耐受以奥沙利铂或伊立替康为基础的标准化疗方案,且无法切除的转移性结直肠癌(mCRC)患者的II期研究。研究结果显示:曲氟尿苷替匹嘧啶片(TAS-102)组患者mPFS时间延长1.41个月(9.23个月vs 7.82个月),mOS时间延长4.64个月(22.31个月vs 17.67个月)。安全性分析也提示曲氟尿苷替匹嘧啶片(TAS-102)+贝伐珠单抗治疗具有良好的耐受性,最常发生的3/4级不良事件是中性粒细胞减少症。严重的发热性中性粒细胞减少症发生率约为4%。
曲氟尿苷替匹嘧啶(TAS-102)+贝伐珠单抗治疗方案毒副反应相对较低,疗效确切,在未来较长一段时间内,可作为国内不适合强烈治疗的mCRC患者及老年患者的一线治疗优选方案,并为患者带来持续的、更优的生存获益。
二、病例分享
01 基本情况
陈某某,女,51岁,2018年1月24日初诊入院。
主诉:大便带脓血并里急后重1月余。
肛门指诊:距肛门约2-3cm齿线部位可触及环形肿物,肠腔狭窄,能容一指尖,活动度尚可,退指可见血性分泌物。
肠镜:进镜约3cm可见一环形狭窄,黏膜表面糜烂出血,进镜受阻。

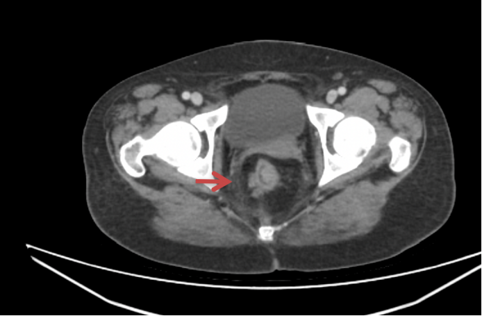
增强CT:可见直肠中上段肠壁增厚,考虑ca,盆腔多发淋巴结肿大,疑转移。

增强MRI:可见直肠肿物,侵及肠壁全层,肠壁外有多发肿大淋巴结。考虑直肠癌(T3N2Mx)。

02 诊断
直肠腺癌(T3N2M0)。
03 治疗方案
建议给予新辅助化疗后手术。
04 治疗经过
(1)2018.02.03—2018.03.10 给予FOLFOX6方案化疗3周期;
(2)2018.04.06 给予腹腔镜下腹会阴联合直肠癌根治术。
病理结果提示:直肠中分化腺癌,浸润肠壁全层,自检淋巴结见转移癌2/8。

(3)2018.04—2018.11 术后给予FOLFOX6方案化疗2次+放疗(52 Gy in 1.8 Gy/fraction 5 days weekly)+FOLFOX6方案化疗7次。
患者术后经过化疗+放疗肿瘤标志物cea及ca199基本正常。

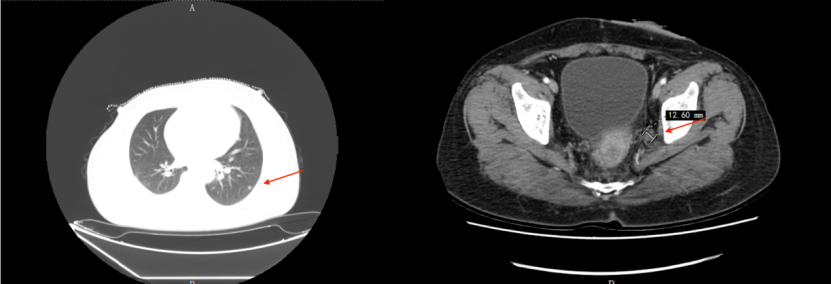
(4)患者停药4个月后常规复查发现双肺新发结节,左侧盆壁侧方有肿大淋巴结。2019.03.06 增强CT如下,同时肿瘤标志物cea升高至7.83ng/ml。考虑肿瘤复发。

给予患者二线方案FOLFIRI+贝伐珠单抗方案化疗11周期(2019.03—2019.11)。治疗期间复查CT及MRI肺部及盆腔病变稳定。
2019.06 患者行病理标本行基因检测:为MMS,RAS野生型。
(5)患者二线化疗结束后,病情稳定,给予卡培他滨+贝伐珠单抗维持治疗。(2019.11—2020.04)
(6)2020.04.10 患者复查时发现肺部结节多发并有增大,盆腔淋巴结也有增大,考虑疾病进展。2019年CSCO指南推荐RAS野生型患者三线使用西妥昔单抗+伊利替康方案治疗。患者拒绝强度较大化疗方案。


根据2020年REGONIVO研究进展,给予患者瑞戈非尼+PD-1治疗(2020.05.10—2021.07)。



(7)2021.07 患者复查疾病再次进展,肺部出现多发新发结节,原转移灶增大。盆腔侧方淋巴结变化不大。


患者拒绝强化疗方案,根据2021年CSCO指南进展,给予曲氟尿苷替匹嘧啶(TAS-102)+贝伐珠单抗治疗,病情稳定。

05 病例小结
患者经过综合治疗后生存已经超过四年,目前病情稳定。

*本文仅代表专家观点,并经专家审校。