
一 专家访谈
专家简介
Q1 积极推动规范的结直肠癌早诊早治是进一步改善我国结直肠癌患者预后的关键,您认为具体落实哪些方面的相关工作可以实现结直肠癌患者5年生存率的再突破? 我国结直肠癌发病率呈上升趋势,国家癌症中心最新数据显示,我国结直肠癌发病率为 23.9/10万,每年新发病例数达 55万,居我国肿瘤疾病第三位。为提高我国结直肠癌患者 5年生存率,需从疾病预防、早筛、早诊、早治方面入手。 首先是预防方面,结直肠癌发生与生活方式、环境、年龄增长有密切关系。健康饮食、戒烟限酒、适当运动、规律作息、控制体重等都是预防结直肠癌发生的重要措施。 其次为早筛、早诊、早治方面。我国人口基数大、医疗卫生条件参差不齐,应尤其重视结直肠癌早期筛查。40岁以上人群要考虑接受结直肠癌风险评估,并据此决定筛查方式和间隔时间。结直肠癌高危因素包括:一级亲属结直肠癌病史(尤其是家族遗传性结直肠癌病史)、肠道腺瘤或息肉病史、既往曾患结直肠癌、炎症性肠病病史(如溃疡性结肠炎、克罗恩病)、便潜血阳性。存在高危因素的人群可通过便潜血、肠镜(如仿真肠镜、胶囊内镜)、便 DNA检测进行结直肠癌筛查,其中便潜血筛查应每年一次;高危人群自40岁起就应接受肠镜筛查,低危人群肠镜检查不应晚于50岁,对于肠镜发现息肉的患者应尽早切除,切除后每2-3年常规复查,若肠镜检查未见明显异常可每5年常规复查;粪便DNA检测建议每1-3年复查。早治方面,若早期发现了结直肠癌,应尽早行病灶切除,以提高患者远期预后。 Q2 晚期结直肠癌二期治疗转三期治疗的时机是按照既往的药尽其用理念,还是依据近年来提出的当换则换理念?更换治疗方案的标准是什么? 既往结直肠癌治疗药物非常有限,跨线治疗以药尽其用为主要指导方针。近年来,随着靶向药物推陈出新,后线治疗选择更丰富,药物更换也更加果断,提出了当换则换的新理念。实际上,药尽其用和当换则换两个理念并不冲突。 目前结直肠癌更换治疗方案的标准主要依据以下几个方面:第一,当影像学评估肿瘤明显进展、患者症状明显恶化时均提示患者目前治疗已不再获益,需要更换治疗方案。第二,肿瘤标志物如 CEA、CA199 水平往往与肿瘤变化同步,其水平升高提示肿瘤增长,但由于其特异性不高,只能作为换药的辅助指标。第三,可根据病理学、循环 DNA、基因筛查等肿瘤负荷指标判断疾病进展与患者预后,并作出换药决策。 Q3 结直肠癌患者检测 MSI 的临床意义?如何看待血液MSI检测对于临床实践的指导作用? 美国 NCCN 指南及美国胃肠病协会均建议对所有结直肠癌无论年龄及分期,都应该进行 MSI/MMR 检测,我国建议结直肠癌患者均进行 MSI 检测。 一、提示预后:对于结直肠癌患者除了 RAS 和 BRAF 之外,影响肠癌预后和治疗的标志物还包括微卫星不稳定(MSI),MSI-H患者预后相对较好。 二、林奇综合征筛查:有助于发现更多的林奇综合征患者。 三、为免疫治疗提供依据:微卫星不稳定性高(MSI-H)的患者对免疫治疗的获益较高。免疫检查点抑制剂是 MSI-H 的有效治疗方式,微卫星稳定(MSS)患者基本未从免疫治疗获益。 在所有结直肠癌患者中 MSI-H 或者 dMMR 肠癌占到 15%~20%,这些患者中有 20% 是遗传相关的,70%~80% 是散发性的 MSI-H 肠癌。因此结直肠癌患者进行 MSI 状态以及错配修复蛋白表达状况的检测非常重要。 对于早期患者,有助于制定辅助治疗策略;对于晚期结直肠癌患者,如果是 MSI-H 或者 dMMR 患者,免疫治疗已经成为非常重要的治疗手段,尤其是近来 keynote 177 研究揭示,免疫抑制剂单药疗效完胜传统的化疗联合靶向治疗。 基于 ctDNA 样本的 MSI-H 检测,是对那些肿瘤组织不足或者取材困难的患者分子标志物检测的重要补充。bMSI 最大的证据是2019年发表在 CCR(Clinical Cancer Research)杂志上的大样本对照研究,研究显示基于 ctDNA 的血液 MSI-H 的检测结果与组织的一致性高达 98.4%。我们国内也有多家基因检测公司在这一方面做了很好的验证和研究,包括燃石医学在内,有的公司也取得了 bMSI 专利。因此基于 ctDNA 样本的 NGS 检测 MSI-H 目前在临床中有它一定的应用价值。当然 ctDNA 检测对于技术要求是非常高的,因此必须进行充分的可靠性认证及临床验证,才能够获得大家的认可。 Q4 为推动我国肿瘤医学标准体系的建设,制定出符合中国人群特征、体现整合医学理念的肿瘤诊疗指导性文件,中国抗癌协会组织我国各领域肿瘤权威专家,历时1年多时间,编写完成我国首部《中国肿瘤整合诊治指南(CACA)》。请结合您的临床经验,谈谈曲氟尿苷替匹嘧啶片(TAS-102)作为晚期不可切除结直肠癌一线用药的优势及治疗效果。 曲氟尿苷替匹嘧啶片(TAS-102)+贝伐珠单抗方案因其高效、低毒的特点,为不适合强烈治疗的 mCRC 患者及老年患者带来了新的希望,其疗效与生存获益令人期待。 2022年 CACA-RC 指南基于 TASCO1 研究的结果,推荐拒绝静脉化疗或不能耐受强烈治疗、易敏的晚期结直肠癌患者姑息一线选择曲氟尿苷替匹嘧啶片(TAS-102)+贝伐珠单抗方案。TASCO1 研究是一项旨在随机比较曲氟尿苷替匹嘧啶片(TAS-102)+贝伐珠单抗和卡培他滨+贝伐珠单抗在一线治疗不可接受高强度治疗的不可切除转移性结直肠癌的II期研究。研究结果显示:曲氟尿苷替匹嘧啶片(TAS-102)组延长患者 mPFS 时间1.41个月(9.23个月 vs 7.82个月);延长患者 mOS 时间4.64个月(22.31个月 vs 17.67个月)。安全性分析也提示曲氟尿苷替匹嘧啶片(TAS-102)+贝伐珠单抗治疗具有良好的耐受性,它最常发生的3/4级不良事件是中性粒细胞减少。严重的发热性中性粒细胞减少症率约为4%。 既往晚期转移性结直肠癌的一线标准化疗方案在国内外指南中均是以奥沙利铂或伊立替康为基础的,即 FOLFOX、CapOX 或 FOLFIRI 方案,在此基础上,可以根据患者基因型和原发灶部位联合西妥昔单抗或者贝伐珠单抗。但是,依旧有部分患者身体状况无法耐受这种强度化疗,少数患者因为高敏可能出现药物过敏,针对这一类患者,治疗方案的选择非常有限且预后情况并不理想。推荐曲氟尿苷替匹嘧啶片(TAS-102)+贝伐珠单抗方案应用于拒绝静脉化疗或不能耐受高强度治疗、易敏的晚期结直肠癌患者姑息一线治疗,为晚期转移性结直肠癌的治疗开启新的篇章。
二 病例分享 01 基本情况
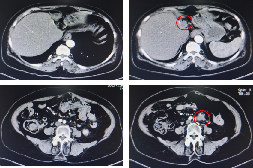
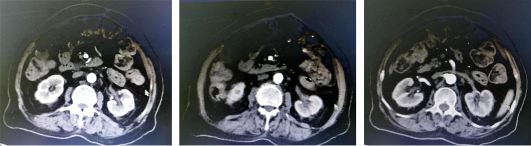
基本信息:性别 女,年龄 78岁,身高 159cm,体重 62kg。 主诉:结肠癌及肝转移瘤术后2年6个月(首次就诊时间为2018-09-10)。 既往史、个人史:“2型糖尿病”20年,予“二甲双胍 0.5g 口服 2次/日、门冬胰岛素注射液皮下注射,早 30U,晚 28U;甘精胰岛素皮下注射 20U ”降糖治疗,血糖控制一般。 家族史:无特殊。 02 初诊病史 体格检查、B超、CT及其他辅助检查。 体表面积1.60m,体格检查:浅表淋巴结未及肿大,双肺呼吸音粗,未闻及干湿性啰音,心律规整,未闻及杂音,腹壁可见陈旧性手术瘢痕,愈合良好,腹软,未及肿物,无压痛,肛查-,双下肢无水肿,起病隐匿,体检行腹部超声发现肝脏占位。 肠镜(2016-3-12):乙状结肠肿物。 咬检病理:(乙状结肠)腺癌。 肝胆胰增强CT(2016-3-10):肝左叶占位。 考虑:乙状结肠癌Ⅳ期 肝转移。 2016-3-21 于外院行“乙状结肠癌根治术+肝左叶转移瘤切除术”,术中予输血治疗,术后恢复慢,切口延期愈合。 术后病理:结肠中分化腺癌伴坏死形成,大者3.5cm×3.2cm×0.5cm,癌组织侵及浆膜脂肪层,脉管内癌栓形成,小者1cm×1cm×0.5cm,癌组织侵及粘膜下层。肠壁周围淋巴结癌转移(3/6),T3N1M1。(肝左叶)肝脏转移性腺癌伴大片坏死形成,大小6.6cm×6cm×4.5cm,结肠来源,残端及吻合口上下缘肠壁未见肿瘤侵及。 基因检测:KRAS、NRAS、BRAF 均未见突变。 初步诊断:乙状结肠癌Ⅳ期(pT3N1M1),同时性肝转移,中分化腺癌,2型糖尿病。 03 治疗方案 2016-4 XELOX 方案化疗1周期(具体剂量不详)因不良反应较重,未完成术后辅助治疗疗程。未予后续治疗,定期复查,病情稳定 胸腹CT(2017-3-19 ):右肺下叶新结节,考虑转移;肝左外叶转移瘤切除术后改变。 2017-4-1 于外院行局部肺肿物射频消融术,无治疗反应,恢复良好。 胸CT(2017-12-5):肺部新发结节,考虑转移。 【一线治疗方案(2017-12至2018-9)】 卡培他滨 1.5g po d1-14 q3w,共10个周期。 不良反应:1度消化道反应。 期间疗效评价:SD。 胸腹增强CT(2018-9-11):符合结肠癌切除术后,肝左叶切除后改变,双肺多发结节,部分较前增大。 2017-12-5 2018-9-11 建议调整方案治疗,患者家属拒绝,继续口服卡培他滨至2019年3月。 疗效评估: ECOG PS评分1分,新发活动后胸闷、气短症状 胸腹平扫CT(2019-3-26):双肺多发结节,较前增大;肝左外叶转移瘤切除术后改变。 2018-9-11 2019-3-26 评估PD。 【二线治疗方案(2019-4至2020-5)】 贝伐珠单抗 300mg ivgtt d0(体重62kg); 卡培他滨 1.5g po d1-14 q3w,共15周期。 不良反应:1级高血压、1度消化道反应。 疗效评估: 胸腹CT(2020-5-21):符合结肠癌术后、肝左叶切除术后,肝左切缘旁异常密度灶,左髂总动脉旁淋巴结;双肺多发结节,部分较前增大,右肺门肿物较前增大。 疗效评价:PD。 【三线治疗方案(2020-5至2020-10)】 西妥昔单抗 600mg ivgtt d0(体表面积1.66 m2); 亚叶酸钙 500mg ivgtt d1; 氟尿嘧啶 500mg ivgtt ,随后3500mg iv泵入 q2w,共9周期。 不良反应:无皮疹、腹泻、恶心、呕吐等。 疗效评估: 胸腹平扫CT(2020-09-07):右肺下叶背段软组织肿块,较前略减小,双肺多发小结节,转移瘤,同前;结肠癌术后、肝左叶切除术后改变,肝左切缘旁异常密度灶同前相仿,腹膜后左侧髂总动脉旁淋巴结同前。 2020-7-23 2020-9-7 疗效评价:SD(缩小趋势)。 胸腹平扫CT(2020-10-24):右肺下叶背段软组织肿块,较前(2020-9-7)略减小,双肺多发小结节,转移瘤,部分较前减小,结肠癌术后、肝左叶切除术后改变,肝左切缘旁异常密度灶同前相仿,腹膜后左侧髂总动脉旁淋巴结同前。 2020-9-7 2020-10-24 疗效评价:SD(缩小趋势)。 胸腹平扫CT(2020-12-13):右肺下叶背段软组织肿块,较前(2020-10-24)未见著变,双肺多发小结节,转移瘤,较前未见著变,结肠癌术后、肝左叶切除术后改变,肝左切缘旁异常密度灶同前相仿,腹膜后左侧髂总动脉旁淋巴结同前。 2020-12-13 疗效评价:SD。 患者未规律返院行西妥昔单抗维持治疗。 胸腹增强CT(2021-1-5):右肺下叶背段软组织肿块,较前(2020-12-13)增大,双肺多发小结节,转移瘤,左肺尖结节较前增大,余未见著变,左侧髂总动脉旁淋巴结较前增大。 疗效评价:PD。 【四线治疗方案(2021-1至2021-10)】 安罗替尼 8mg po 1次/日 d1-14 (2021-3 起因高血压2级,药物控制不佳调整为8mg qod ); 卡培他滨 1g po 2次/日 d1-14 q3w (2021-4 起因乏力2级不能耐受停服)。 不良反应:2级高血压,2级乏力,1级胆红素升高,1度消化道反应。 疗效评估: 胸腹增强CT(2021-10-3):右肺下叶背段占位,考虑恶性肿瘤,较前增大,双肺多发转移瘤,部分较前略增大,结肠癌术后、直肠区肠管明显扩张,肝左叶切除术后改变,切缘旁占位伴肝内胆管扩张,累及胆总管,考虑恶性病变,较前增大,腹膜后左侧髂总动脉旁淋巴结,较前增大,累及左侧输尿管伴以上输尿管及肾盂扩张。 2021-10-3 疗效评价:PD。 疗效评估: 胸腹增强CT(2021-10-3):右肺下叶背段占位,考虑恶性肿瘤,较前增大,双肺多发转移瘤,部分较前略增大,结肠癌术后、直肠区肠管明显扩张,肝左叶切除术后改变,切缘旁占位伴肝内胆管扩张,累及胆总管,考虑恶性病变,较前增大,腹膜后左侧髂总动脉旁淋巴结,较前增大,累及左侧输尿管伴以上输尿管及肾盂扩张。 【后线治疗方案(2021-10至2021-11)】 曲氟尿苷替匹嘧啶片(TAS-102) 40mg po 2次/日 d1-5,d8-12,q4w; 贝伐珠单抗 200mg ivgtt q2w。 不良反应:无皮疹、腹泻、恶心、呕吐等。 疗效评估: 胸腹增强CT(2021-11-17):右肺下叶背段占位,较前变化不明显,双肺多发转移瘤,较前变化不明显,结肠癌术后、直肠区肠管明显扩张,肝左叶切除术后改变,切缘旁占位伴肝内胆管扩张,累及胆总管,考虑恶性病变,较前变化不明显,腹膜后左侧髂总动脉旁淋巴结,较前减小,肾盂扩张较前减轻。 疗效评价:SD。 胸腹增强CT(2021-11-17):右肺下叶背段占位,较前变化不明显,双肺多发转移瘤,较前变化不明显,结肠癌术后、直肠区肠管明显扩张,肝左叶切除术后改变,切缘旁占位伴肝内胆管扩张,累及胆总管,考虑恶性病变,较前变化不明显,腹膜后左侧髂总动脉旁淋巴结,较前减小,肾盂扩张较前减轻。 04 病例小结 患者为高龄女性,诊断为直肠癌Ⅳ期多发转移,KRAS、NRAS、BRAF 均未见突变。 OS为69个月。




















*本文仅代表专家观点,并经专家审校。