
为了响应《“健康中国2030”规划纲要》,实现我国全民消化肿瘤早诊早治,《肿瘤界》设立“齐力荟聚-消化肿瘤频道”,聚焦消化肿瘤患者的诊断治疗。旨在报道国内前瞻性、创新性和高学术水平的关于消化道肿瘤防治的临床应用和基础研究,把握学术发展动向,促进学术交流,整体提高国内消化肿瘤防治的临床与研究水平,结合国内研究特色,以及国内临床规范制度,推动消化肿瘤防治的进步,普及推广临床规范化诊疗。
一 专家访谈 专家简介 Q1 目前大肠癌在我国的发病率和死亡率都位居前列,疾病诊疗负担巨大。请您谈谈目前该领域面临的瓶颈有哪些?未来五年值得期待的突破又有哪些? 我国大肠癌的发病率和死亡率呈逐年上升趋势,医疗负担、患者负担都不容小觑。由于筛查观念不强、疾病起病和进展隐匿,多数患者诊断时已为中晚期,预后差。根据《“健康中国2030”规划纲要》中提出的要求,临床及科研的重点都将提高患者五年生存率作为首要目标。对此,关于大肠癌未来五年的发展可重点关注以下三点。 第一,进一步完善早筛早诊早治工作。通过加强普通民众和患者的科普教育,提高大肠癌疾病的关注度,推动筛查工作的开展。 第二,大力发展精准医学。精准医学的含义主要包括依靠影像学、病理学、肿瘤标志物及基因检测的精准诊断和精准治疗两方面。 第三,探索更多联合治疗可能。随着技术和药物的发展,大肠癌治疗方案已经得到了极大的丰富,不同药物与不同局部治疗方法的联合已显示出显著优势。未来也将继续探索最佳的联合模式,以及每种方案的优势人群,从而最大程度发挥每种治疗手段的优势,改善患者预后。 Q2 结直肠癌在我国癌症发病率中排第二位,早期结直肠癌的生存率高达90%,Ⅳ期五年生存率不到10%,所以早筛对于患者来说可以提高生存率,这也是早筛的价值所在。请您谈谈目前国内有哪些早筛手段? (1)便隐血检测 便隐血检测是用来检查粪便中隐匿的红细胞或血红蛋白。这是应用最广的早筛技术,操作简便、迅速,价格便宜。推荐筛查周期为1年1次。 (2)多靶点粪便DNA检测 多靶点粪便DNA检测是近年来逐渐成熟的粪便DNA分子检测,其对结直肠癌进展期腺瘤的筛检敏感性提升显著。高危人群可每3年检查1次或每年1次。 (3)结肠镜检查 结肠镜是肠癌早诊的金标准,是发现结直肠肿瘤最直接的手段,其可直观地观察到肠道黏膜是否出现了癌前病变。 (4)血液基因检测 血液基因检测肠癌的敏感度比便潜血更高,且采血检查的方式也较易被接受。 Q3 ASCO-GI和ASCO 是消化道肿瘤领域中非常具有影响力的两项国际大会,这些国际会议中针对 KRAS 突变结直肠癌的多项研究值得关注。请您谈谈针对 KRAS 突变结直肠癌治疗有哪些新的研究探索? 目前针对 KRAS 突变肠癌同样进行了很多有价值的探索。KRAS 突变的进展主要集中于 G12C 突变。KRAS G12C 抑制剂Sotorasib在 KRAS G12C 突变肠癌患者中进行了尝试,结果显示单药ORR不足10%,疗效不佳。但是后续发现Sotorasib联合帕尼单抗可进一步提高疗效,目前研究也在进一步扩大样本量。另外一个 KRAS G12C 抑制剂是 Adagrasib,Adagrasib 联合西妥昔单抗治疗 KRAS G12C 突变肠癌可将单药22%的ORR提高至43%,患者生存得到进一步的延长,进一步验证了EGFR抑制剂联合下游KRAS抑制剂可能代表了该疾病的重要治疗策略。 KRAS 突变除了 G12C 之外,还有 G12V、G12D 和13号密码子的突变。VS-6766 是一种 RAF/MEK 抑制剂,不仅对于 KRAS G12C 突变有效,而且对于 G12D 和 G12V 也表现出良好的抑制作用。临床前研究显示,在 KRAS 突变的结直肠癌中,VS-6766 与 EGFR 抑制剂治疗具有协同作用,是未来研究探索的方向。同时探索也在积极向一线推进。KRAS 抑制剂联合西妥昔单抗和化疗以及免疫治疗等方案在一线治疗中开始进行诸多探索,期望这些研究结果也能成为临床证据,为患者带来更好的临床获益。 Q4 晚期结直肠癌的预后相对较差、患者生存期不长,但依然有治愈的可能,关系到临床治疗用药方案的决策。今年上半年发布的 CACA-RC 指南推荐不适合高强度治疗患者应用曲氟尿苷替匹嘧啶片(TAS-102)联合贝伐珠单抗,作为晚期不可切除结直肠癌姑息一线治疗方案。请您谈谈该推荐治疗对我国晚期不可切除结直肠癌的临床治疗产生了怎样的影响? 晚期转移性结直肠癌的一线标准化疗方案在国内外指南中均是以奥沙利铂或伊立替康为基础的即 FOLFOX、CapOX 或 FOLFIRI 方案,在此基础上,可以根据患者基因型和原发灶部位联合西妥昔单抗或者贝伐珠单抗。但是,依旧有部分患者身体状况无法耐受这种强度化疗,还有少数患者因为高敏可能出现药物过敏,所以,这类患者治疗方案的选择非常有限且预后情况并不理想。对于这类患者国内外的标准治疗首选卡培他滨或5-氟尿嘧啶联合贝伐珠单抗。 2022年 CACA-RC 指南基于 TASCO1 研究结果,对于不能耐受卡培他滨或氟尿嘧啶的患者或不能耐受高强度治疗的晚期肠癌患者可以考虑选择曲氟尿苷替匹嘧啶片(TAS-102)+贝伐珠单抗方案。2021年在 ASCO-GI 大会中报告了 TASCO1 研究进展,TASCO1 是一项针对既往未接受过治疗、无法耐受以奥沙利铂或伊立替康为基础的标准化疗方案,且无法切除的转移性结直肠癌(mCRC)患者的II期研究。研究结果显示:曲氟尿苷替匹嘧啶片(TAS-102)组患者 mPFS 时间延长1.41个月(9.23个月 vs 7.82个月),mOS 时间延长4.64个月(22.31个月 vs 17.67个月)。安全性分析也提示曲氟尿苷替匹嘧啶片(TAS-102)+贝伐珠单抗治疗具有良好的耐受性,最常发生的3/4级不良事件是中性粒细胞减少症。严重的发热性中性粒细胞减少症发生率约为4%。 在既往的研究中,同样验证了曲氟尿苷替匹嘧啶片(TAS-102)+贝伐珠单抗这一方案的有效性和安全性,日本 C-TASK-FORCE 研究和欧洲 DANISH 研究均显示,对于 PS 为0~1分的 mCRC 患者,曲氟尿苷替匹嘧啶片(TAS-102)+贝伐珠单抗三线治疗实现了超过4.5个月的中位 PFS 时间,超越了既往单药三线治疗的总体水平,且未显著增加不良事件(AEs)。曲氟尿苷替匹嘧啶片(TAS-102)+贝伐珠单抗4周方案治疗 mCRC 显示了良好的抗肿瘤活性。日本 BiTS 研究确证了双周方案可在不影响疗效的前提下,明显降低中性粒细胞减少症发生率。 曲氟尿苷替匹嘧啶(TAS-102)+贝伐珠单抗治疗方案毒副反应相对较低,疗效确切,在未来较长一段时间内,可作为国内不适合高强度治疗的mCRC患者及老年患者的一线治疗优选方案,并为患者带来持续的、更优的生存获益。
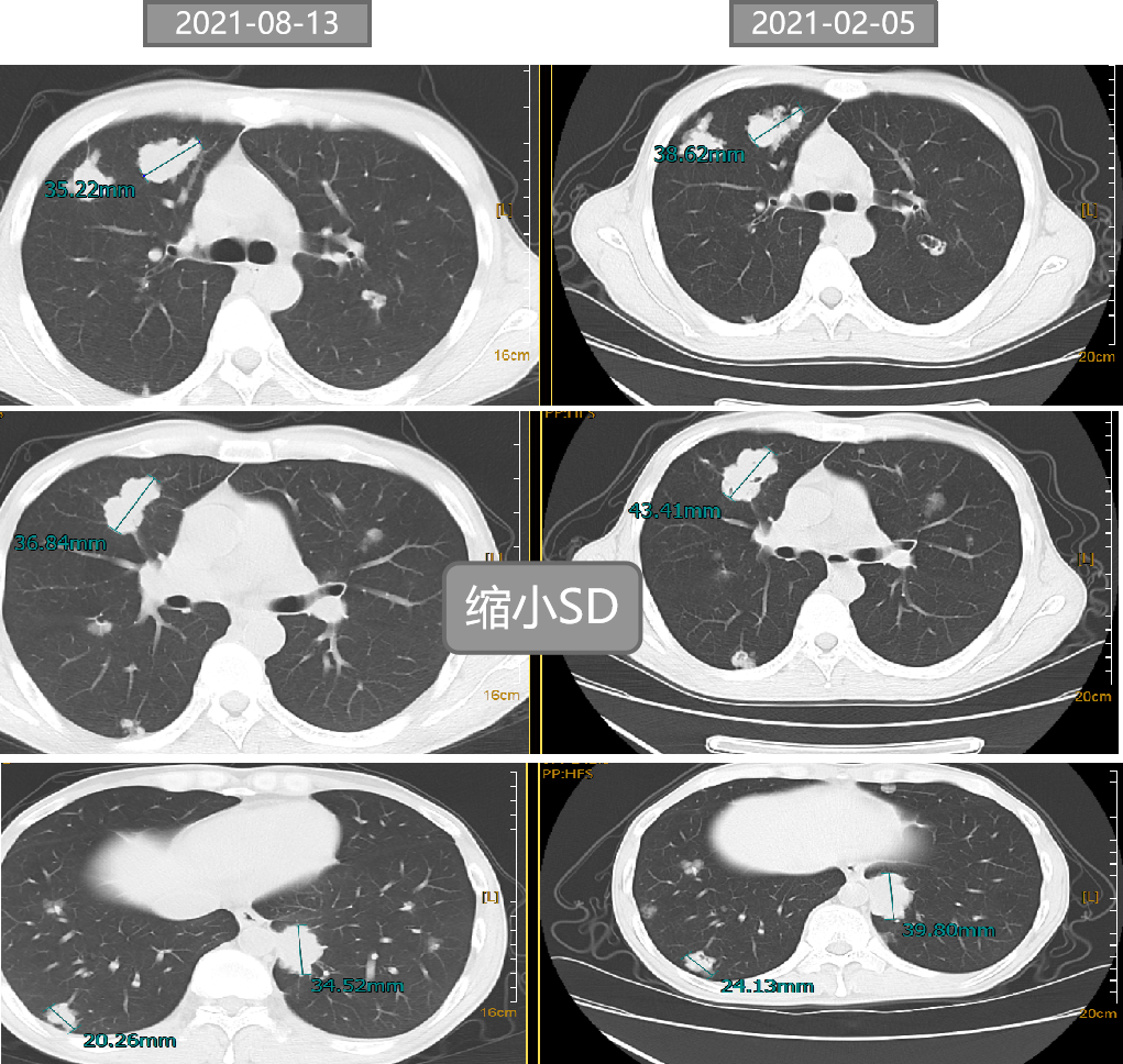
二 病例分享 专家简介 01 基本情况 刘某某,男性,28岁。 主诉:大便次数增多2月。 首诊时间:2018-07-03,北京大学人民医院。 既往史:右踝关节骨折术;痔疮病史。 个人史:无特殊。 家族史:其父为小细胞肺癌患者。 入院查体:ECOG 1分,无明显阳性体征。 02 初诊病史 肿瘤标志物:CEA 19.45 ng/ml。 肠镜及病理:直肠(距肛门约8cm处),直肠腺癌。 胸腹盆增强CT:1.双肺多发结节,考虑转移瘤可能性大;2.肝S6段异常密度灶;3.下段直肠癌可能性大。 盆腔增强MRI:(中位)直肠癌、T(3b)、N(2b)、癌结节(0)、CRM(阳性)、EMVI(阴性)、非区域淋巴结(阴性)。 上腹部增强MRI:肝S6段小结节,不典型血管瘤可能大。 初步诊断: 1.直肠癌(cT3N2bM1aIVA期 )肺转移; 2.痔疮; 3.右踝关节骨折术后; 4.肝血管瘤。 03 治疗方案 外院:XELOX。 我院首诊:2018-07-18。 免疫组化:MLH1(+),PMS2(+),MSH2(+),MSH6(+)。 2018-07-25至2018-09-26 XELOX *2+局部放疗*25f,PD。 基因检测(2018-10-23):KRAS、NRAS、BRAF基因均未见突变。 二线治疗:2018-10-18至2019-03-01 贝伐珠单抗+FOLFIRI*9 (SD→PD)。 疗效评估 三线治疗:2019-03-28至2019-07-23 西妥昔单抗+伊立替康+雷替曲塞*6(SD→PD)。 疗效评估 2019-07-25 瑞戈非尼 80mg po。 2019-09-26 复查:SD,瑞戈非尼 120mg po。 2019-11-21 复查:PD,瑞戈非尼 160mg po。 疗效评估 2019-12-19 至2020-09-24 信迪利单抗 200mg q3w +瑞戈非尼80mg po d1-d21 q4w。 2020年 ASCO 更新的瑞戈非尼+纳武利尤单抗(regorafenib+nivolumab)在晚期结直肠癌或胃癌患者中的Ib期临床试验(REGONIVO, EPOC1603)。 疗效评估 2020-09-26 盆腔增强MRI:直肠癌治疗后复查,与2020-05-10 MRI比较:直肠壁增厚程度较前似进展;直肠下段偏左侧新发不规则异常信号,考虑瘘管/脓肿形成。 考虑直肠下段脓肿,行抗感染治疗。 并于 2020-10-14 在气管插管全身麻醉下行腹腔镜下乙状结肠造口术。 2020-11-06 至2021-02-05 信迪利单抗200mg q3w+呋喹替尼3mg d1-21 q4w。 双肺多发转移瘤,对比 2020-11-04 CT较前增大、部分空洞形成。 TAS-102:新型口服细胞毒性药物 2021-V1版NCCN指南和2021 CSCO指南推荐更新:TAS-102±贝伐珠单抗(Bev)作为mCRC三线标准治疗。 2021-02-05 至今 TAS-102 60mg bid d1-5,d8-12,q4w 联合信迪利单抗200mg q3w。 不良反应 西妥昔单抗:皮疹; 瑞戈非尼:手足综合征; PD-1抑制剂:免疫性甲状腺炎; TAS-102:骨髓抑制(中性粒细胞IV度下降、贫血)。 04 诊疗小结
















*本文仅代表专家观点,并经专家审校。