
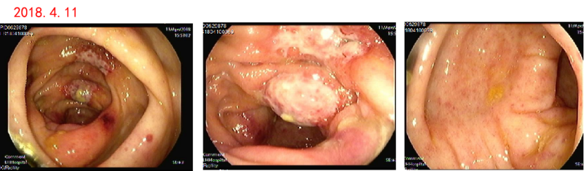
为了响应《“健康中国2030”规划纲要》,实现我国全民消化肿瘤早诊早治,《肿瘤界》设立“齐力荟聚-消化肿瘤频道”,聚焦消化肿瘤患者的诊断治疗。旨在报道国内前瞻性、创新性和高学术水平的关于消化道肿瘤防治的临床应用和基础研究,把握学术发展动向,促进学术交流,整体提高国内消化肿瘤防治的临床与研究水平,结合国内研究特色,以及国内临床规范制度,推动消化肿瘤防治的进步,普及推广临床规范化诊疗。 一 专家访谈 专家简介 Q1 随着肿瘤领域药物研究的不断进展、诊疗理念的不断革新,为结直肠癌患者带来新的生存机遇。作为肿瘤内科专家,请您谈谈结直肠癌领域化疗药物的革命性变迁。 1957年Charles Heidelberger 发现了5-氟尿嘧啶(5-FU),并开始用于肠癌治疗。1978年Waxmans 发现亚叶酸钙(CF)可增强5-FU的活性。在20世纪以前,晚期结直肠癌的治疗主要是单药氟尿嘧啶±亚叶酸钙的治疗,生存期为5个月。 2000年以后,新的化疗药——奥沙利铂、伊立替康及卡培他滨相继应用在肠癌治疗领域,在2004年V308研究采用伊立替康联合5-FU+甲酰四氢叶酸钙(LV)的FOLFIRI方案一线治疗后,再接受奥沙利铂联合5-FU/LV (FOLFOX6方案)二线治疗,可使患者获得更长的无进展生存期,更多患者的生活质量得到提高,总体安全性较好,中位生存期延长至21.5个月。 对于年轻、体力状态好,肿瘤负荷大,期望更好控制肿瘤的晚期结直肠癌患者,氟尿嘧啶、奥沙利铂和伊立替康三药联合方案FOLFOXIRI是CSCO、NCCN等国内外指南推荐的转移性结直肠癌(mCRC)化疗方案之一。此方案疗效显著,但不良反应发生率高,具体药物的使用剂量需根据患者实际情况个体化调整。2021年上市的曲氟尿苷替匹嘧啶片(TAS-102)三线用于晚期结直肠癌的治疗,安全性良好,为老年体弱患者带来新的选择。 Q2 现阶段晚期结直肠癌主要治疗方案依然是化疗联合靶向药物,请您总结结直肠癌领域靶向治疗进展有哪些里程碑? 靶向治疗药物又分为两大类,一类是大分子单抗类药物,另一类是小分子TKI类药物。靶向治疗的选择在结直肠癌领域分为两大类,即抗VEGF单抗和抗EGFR单抗。自2014年贝伐珠单抗获批适应证上市,用于晚期结直肠癌一线治疗以来,大分子单抗类药物相关临床研究从未停止。除此以外,小分子TKI类药物的临床研究也不断取得进展,例如瑞戈非尼、呋喹替尼等,为晚期结直肠癌患者的后线治疗带来了很好的选择。 目前《中国临床肿瘤学会(CSCO)结直肠癌诊疗指南》推荐BRAF V600E 和RAS 基因突变且错配修复完整(pMMR)的肠癌患者一线治疗选择贝伐珠单抗联合化疗,化疗可以根据患者状况考虑单药或者两药或三药联合。当疾病进展后,二线治疗可以选择贝伐珠单抗的跨线应用,三线治疗选择包括瑞戈非尼、呋喹替尼等口服酪氨酸激酶抑制剂(TKI)药物或者曲氟尿苷替匹嘧啶(TAS-102)化疗药物。随着BRAF抑制剂的问世,研究结果显示BRAF抑制剂联合西妥昔单抗等EGFR单抗±化疗或MEK抑制剂均为BRAF V600E 突变患者带来良好临床获益(目前已被CSCO指南作为二、三线治疗推荐)。如果患者同时存在另一个重要标志物dMMR,KEYNOTE-177、CheckMate 142等临床研究结果显示PD-1单抗单药或联合CTLA-4抑制剂均具有良好临床疗效和生存获益。因此针对BRAF V600E 和RAS 基因突变及dMMR等状态,在临床中需要进行精准检测才能为患者制定更为科学的临床治疗策略。 2022年ASCO大会报告的STRATEGIC-1 研究,对于晚期不可切除转移性结直肠癌RAS/BRAF 野生型多线治疗策略的探索,提示西妥昔单抗联合FOLFIRI序贯贝伐珠单抗联合mFOLFOX6的治疗策略,可以达到更高的应答率以及超过3年的OS。对于晚期结直肠癌,全面评估患者的一般情况、肿瘤情况及治疗情况,合理的序贯治疗将为其带来更大的生存获益和更好的生活质量。 除此以外,对于目前HER2扩增CRC相关的抗HER2靶向治疗,NCCN指南推荐曲妥珠单抗+帕妥珠单抗+拉帕替尼在HER2扩增的晚期CRC三线治疗。还有全人源化的EGFR单抗——帕尼单抗,用于KRAS 野生型 mCRC 患者的一线治疗;作用于VEGFR2的雷莫芦单抗,用于晚期结肠癌的二线治疗;多靶点小分子酪氨酸酶抑制剂瑞戈非尼、VEGFR抑制剂呋喹替尼用于三线治疗,为晚期结直肠癌的治疗带来了生命的曙光。 抗EGFR单抗联合免疫治疗在一线也在探索过程中,西妥昔单抗联合Avelumab及FOLFOX一线治疗RAS/BRAF野生型mCRC患者的AVETUX研究,初步提示免疫治疗一线联合化疗及抗EGFR单抗可能进一步提高疗效。此外,西妥昔单抗+Avelumab联合mFOLFOXIRI三药化疗方案一线治疗MSS 型RAS 野生型mCRC患者的Ⅱ期AVETRIC研究正在进行,期待能够带来更多关于晚期肠癌免疫治疗的提示。 今年ESMO公布的瑞戈非尼联合双免研究再次为如何改善MSS型mCRC免疫微环境提供了新的思路。在REGONIVO研究之后,多项临床研究尝试了不同的靶向+免疫的治疗方案,均是想打破“冷”肿瘤治疗的困境,探索MSS型mCRC免疫治疗的未来。瑞戈非尼联合免疫是目前唯一一项中位OS超过20个月的MSS型mCRC靶免联合研究,让大家对靶免联合方案治疗MSS型mCRC看到了更大的希望。 Q3 近年来,免疫治疗如火如荼,诸多免疫联合治疗研究成果的报道为晚期结直肠癌的治疗带来了新的希望。请您谈谈结直肠癌领域进入免疫治疗时代后,有哪些阶段性的研究进展? 进入免疫治疗时代后,免疫治疗在结直肠癌领域的总体进展是非常有限的。大多数结直肠癌患者为MSS型,而免疫治疗在MSS型患者群体中的进展缓慢且滞后。而dMMR结直肠癌患者在免疫治疗方面属于具有特殊优势的群体,相关临床研究取得了飞速的进展,例如CheckMate 142研究等为dMMR结直肠癌患者免疫治疗选择提供了一些研究方向,并确定免疫治疗在该类患者中的一线治疗地位;相信在不久的未来,关于单免、双免、化免、靶免的临床研究会为我们提供很好的数据支持,针对dMMR结直肠癌患者的一线免疫治疗进一步分层。同时,免疫治疗也正从晚期一线治疗转战新辅助治疗的临床研究,目前从ASCO会议、ASCO-GI会议等相关报道来看,虽然多数是Ⅱ期临床研究,但都显示了在新辅助治疗中增加免疫治疗对于dMMR和pMMR患者群体的缓解率均有不同程度提高。 大型Ⅲ期随机KEYNOTE-177研究证实PD-1抑制剂单药在MSI-H/dMMR mCRC中的显著疗效。研究纳入307例患者随机接受帕博利珠单抗或标准治疗,两组中位无进展生存(PFS)分别为16.5个月 vs.8.2个月(HR 0.59),延长超过一倍的时间。在最新公布的数据中,两组中位总生存(OS)并无显著差异,可能与标准治疗组后续患者应用交叉免疫治疗有关。本项研究为MSI-H型mCRC患者一线应用免疫治疗奠定基础。 除免疫单药之外,2022年ASCO大会公布了双免联合治疗的数据。CheckMate 142研究中武利尤单抗联合伊匹木单抗治疗MSI-H/dMMR mCRC患者显示出了疗效。研究共分为三个队列,C1队列为纳武利尤单抗单药二线以上治疗,C2队列为双免疫二线以上治疗,C3队列为双免疫一线治疗。三组客观缓解率(ORR)分别为39%、65%和71%,中位缓解持续时间(DOR)均未达到,48个月PFS率分别为36%、54%和51%,48个月OS率分别为49%、71%和72%,双免治疗OS率均超过70%,证明双免治疗可为这类患者带来持续生存获益。另一项NIPICOL研究是双免组合持续一年用于MSI-H/dMMR mCRC患者的后线治疗,3年PFS率及OS率均超过70%,显示出持久的抗肿瘤活性。 今年ASCO会议最瞩目的研究之一则是新型PD-1单抗Dostarlimab新辅助治疗局部晚期dMMR直肠癌,14例患者接受半年Dostarlimab治疗,100%达到了临床完全缓解,所有患者均无需行放化疗或手术治疗。且未观察到3-4级不良事件。本研究首次证实在新辅助治疗中免疫治疗可为MSI-H患者带来显著缓解,达到去放疗或去手术的治疗目的。另外一项NICHE研究同样是在新辅助治疗阶段,使用纳武利尤单抗+伊匹木单抗+塞来昔布联合方案,今年ASCO大会上公布其最终分析结果。32例dMMR结肠癌患者中,100%患者具有显著病理退缩,97%患者达到主要病理缓解(MPR),病理完全缓解(pCR)率达69% 。同样证实免疫治疗在新辅助治疗中对于非转移性dMMR/MSI-H人群的疗效。 在结直肠癌新辅助治疗方面,免疫治疗或可大放异彩。 Q4 2022年4月隆重发布的CACA-RC指南,将曲氟尿苷替匹嘧啶片(TAS-102)+贝伐珠单抗方案推荐为晚期不可切除结直肠癌一线治疗方案。请您谈谈该项指南推荐有哪些研究依据?您认为未来对国内临床治疗具有怎样的价值? 曲氟尿苷替匹嘧啶片(TAS-102)是由三氟胸苷(FTD)与盐酸替匹嘧啶(TPI)以1:0.5的摩尔比组成的一种口服复方制剂,是目前比较新型的口服化疗药,为临床用药的可及性带来了希望。 曲氟尿苷替匹嘧啶片(TAS-102)在中国的获批是基于国际多中心RECOURSE研究和亚太TERRA研究的结果。RECOURSE研究中,曲氟尿苷替匹嘧啶片(TAS-102)较安慰剂显著延长中位OS时间(7.1个月对比5.3个月)和中位PFS时间(2.0个月对比1.7个月),死亡风险和疾病进展风险分别降低32%和52%。 TERRA研究中,曲氟尿苷替匹嘧啶片(TAS-102)组的中位OS时间(7.8个月对比7.1个月)和PFS时间(2.0个月对比1.8个月)亦得到显著改善,死亡风险和疾病进展风险分别降低21%和57%。而且,这两项研究中,曲氟尿苷替匹嘧啶片(TAS-102)的不良反应均以血液学毒性为主,有症状的不良反应发生率低。鉴于其良好的安全性和耐受性,曲氟尿苷替匹嘧啶片(TAS-102)与其他药物联合用于肠癌也在研究中进行了探索并取得了不错的结果。 C-TASK-FORCE研究和DANISH研究均显示,对于PS为0~1分的mCRC患者,曲氟尿苷替匹嘧啶片(TAS-102)+贝伐珠单抗三线治疗实现了超过4.5个月的mPFS时间,超越了既往单药三线治疗的总体水平,且未显著增加AEs。曲氟尿苷替匹嘧啶片(TAS-102)+贝伐珠单抗4周方案治疗mCRC显示了良好的抗肿瘤活性。BiTS研究确证了双周方案可在不影响疗效的前提下,明显降低中性粒细胞减少症发生率。KSCC 1602研究也成功探索了FTD/TPI +贝伐珠单抗用于mCRC一线治疗的疗效和安全性。 2021年在ASCO-GI大会中报告了TASCO1研究进展,研究证实曲氟尿苷替匹嘧啶片(TAS-102)+贝伐珠单抗与卡培他滨+贝伐珠单抗疗效相近,中位PFS时间(9.23个月对比7.82个月)和OS时间(22.31个月对比17.67个月),没有显著性差异。2022年CACA-RC指南基于TASCO1研究的结果,对于不能耐受卡培他滨或氟尿嘧啶的患者或不能耐受高强度治疗的晚期肠癌患者可以考虑选择曲氟尿苷替匹嘧啶片(TAS-102)+贝伐珠单抗方案。曲氟尿苷替匹嘧啶片(TAS-102)+贝伐珠单抗方案高效、低毒,为国内不适合高强度治疗的mCRC患者及老年患者带来了新的治疗机遇。 二 病例分享 专家简介 01 基本情况 武**,58岁,女性,身高 163cm,体重 68kg,体表面积1.77m2,ECOG:0分。 初诊主诉:大便带血1个月。 既往史及家族史:2型糖尿病病史5年。 个人史及过敏史:无吸烟、饮酒嗜好。无食物、药物过敏史。 查体:心、肺、腹(-)。 02 初诊病史 患者于2015年12月无明显诱因出现大便带血,便不成形,约2~3次/天,每次出血量约10ml,无腹痛、腹胀,无心悸、气短等。完善肠镜提示距肛门10.0~12.0cm肿物,活检病理:直肠中分化腺癌。血清肿瘤标记物未见明显异常。影像学检查未见远处转移。 03 治疗经过 1. 初诊 手术:2016年1月14日 行腹腔镜辅助下直肠癌根治术(Dixon)。 手术病理:直肠中分化腺癌,侵及全层达浆膜外,两断端及环周未见癌。肠周淋巴结转移(2/20),上下切缘均未见癌。 免疫组化:MLH1(++),MSH2(++),MSH6(++),PMS2(++),Ki67(+40%),C-erbB-2(-)。 基因检测:NRAS外显子2(G12D/S)突变,KRAS、BRAF V600E、PIK3CA 未见突变。诊断:直肠中分化腺癌 pT4aN1M0 IIIB期,pMMR,HER-2(-),NRAS 突变。 术后辅助化疗:2016-2至2016-8 行XELOX化疗8周期,末次化疗时间2016年8月。此后门诊定期复查。 2. 第1次复发进展 2017-10 复查胸CT:左上肺内可见2个小结节,直径分别为0.8cm及1.6cm,略呈分叶、边缘毛糙。 2017-10 PET-CT:左上肺2个病灶考虑恶性肿瘤。考虑肺转移。 进行MDT讨论后 2017-10-11 行VATS左肺上叶楔形切除术。 手术病理:左肺尖段及左肺前段均考虑转移性腺癌,结合免疫组化考虑胃肠道来源。 免疫组化:MLH1(++),MSH2(++),MSH6(+++),PMS2(++),Ki67(+40%),C-erbB-2(-)。 基因检测:NRAS 外显子2(G12D/S)突变,KRAS、BRAF V600E、PIK3CA 未见突变。 2017-10-25至2018-3-23 行术后辅助:mFOLFOX6*9cyc。 主要不良反应:腹泻III级。(PFS 11个月) 3. 第2次复发进展 2018-9 复查胸CT:左肺多发小结节,考虑转移。 2018-10-30至2020-5-11 行一线用药:贝伐珠单抗+卡培他滨化疗25cyc。(PFS 18个月) 4. 第3次复发进展 2020-5-26 复查胸CT:原左肺内结节灶数量较前增多,体积较前增大,较大者直径约1.4cm,右中叶新见一结节灶。 2020-6-1至2020-9-3 行二线用药:贝伐珠单抗+FOLFIRI *6周期,出现骨髓毒性III级。 2020-9 行胸膜下肿物穿刺活检,仍提示为腺癌(胃肠道来源) pMMR HER2(-),NRAS 突变。 故调整为:呋喹替尼5mg/d d1-21,q28d+卡培他滨1.0/m2 bid d1-14/q21d,末次用药2022-2。(PFS 21个月) 5. 第4次复发进展 2022-2 复查胸部CT提示左肺内结节灶数量较前增多,体积较前增大。 2022-2至今 行三线治疗:呋奎替尼+信迪利单抗*10crc(PFS 7个月)。主要不良反应:蛋白尿2级→1级。 6. 随访 患者目前仍在继续维持治疗中,末次评效时间2022-9,疾病稳定。持续获益。OS 80m。 04 病例小结 05 病例点评 肺是直肠常见的转移部位,与其他远处转移不同,肺转移病变生长相对较慢、总体预后较好。由于肺转移的数量、位置、大小、原发灶、肺外转移和基因分型等多种因素均影响预后与治疗决策,因此需要MDT讨论下进行综合治疗。该患者直肠癌NRAS 突变,pMMR,第一次异时性肺转移,依据《结直肠癌肺转移多学科综合治疗专家共识(2018版)》评估为可手术切除,术后辅助治疗1年后再次进展。依据肺转移数量、大小的变化,评估肺转移不可切除,经MDT讨论,给予患者化疗联合抗血管生成靶向治疗,并结合局部治疗,后续肺转移进展,但无肺外转移,患者接受了靶免治疗,经综合治疗患者目前生存时间已达80个月。由此可见,针对结直肠癌肺转移患者,MDT诊疗模式有助于制定科学规范的诊疗策略。 *本文仅代表专家观点,并经专家审校。








