
为了响应《“健康中国2030”规划纲要》,实现我国全民消化肿瘤早诊早治,《肿瘤界》设立“齐力荟聚-消化肿瘤频道”,聚焦消化肿瘤患者的诊断治疗。旨在报道国内前瞻性、创新性和高学术水平的关于消化道肿瘤防治的临床应用和基础研究,把握学术发展动向,促进学术交流,整体提高国内消化肿瘤防治的临床与研究水平,结合国内研究特色,以及国内临床规范制度,推动消化肿瘤防治的进步,普及推广临床规范化诊疗。
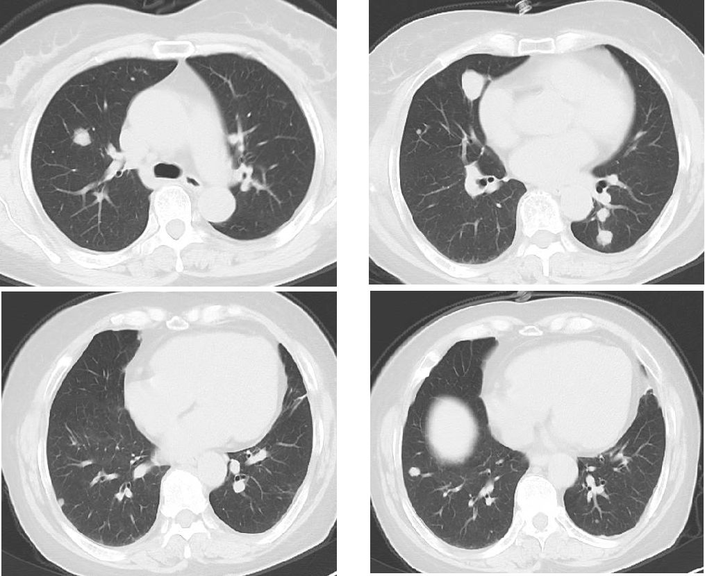
一 专家访谈 专家简介 于国华 教授 潍坊市人民医院 潍坊市肿瘤防治中心主任、潍坊市人民肿瘤医院院长、GCP机构副主任 潍坊市科技智库首席专家,省级重点学科负责人 中国临床肿瘤学会(CSCO)理事 山东省抗癌协会常务理事 潍坊市抗癌协会理事长 中国老年学学会舒缓治疗分会常务委员 中国老年学学会老年肿瘤专业委员会 中国老年学学会老年肿瘤专业委员会(CGOS)分子靶向分委会、肺癌分委会常务委员 山东省医学会肿瘤微创治疗分会副主任委员 山东省医学会姑息医学分会副主任委员 山东省肿瘤微创质量控制中心副主任委员 山东省医师协会肿瘤化疗医师分会副主任委员 山东省抗癌协会肿瘤化疗分会、肺癌分会、靶向治疗分会、心理治疗分会副主任委员 潍坊市医学会肿瘤化疗分会主任委员 潍坊市中西医结合学会肿瘤专业委员会主任委员 潍坊市肿瘤化疗专业质量控制中心主任 Q1 随着检查手段不断丰富,晚期结直肠癌的全程管理成为必然趋势。请您谈一谈我国在结直肠癌全程管理方面取得了哪些成果,未来应该朝着哪些方向努力? 我国在结直肠癌全程管理方面的进步成果,大概可以分为三个方面。 第一方面,随着医疗检测技术和诊疗理念的革新,我国早筛早治取得了良好进展。60~80年代我国检查技术相对落后,主要为粪便潜血试验展开有关肠道检查,而随着内镜技术的发展,肠镜检查逐渐普及,提高了结直肠癌早期患者的诊断率,推进了我国早诊早治的策略,使更多患者及早发现疾病并接受治疗。 第二方面,我国医疗制度具有优越性。随着我国全民医保的全面落实,“全民健康”理念的普及,就诊路径日益优化,更加快速便捷,使患者尽早获得诊断和治疗。 第三方面,国家癌症中心以及有关学协会的成立,推动了我国整体诊疗水平的不断提高。不仅为基层和各级医院搭建了良好的学习平台,推动了临床医生的再学习、再教育,也使得规范化诊疗、多学科协作(MDT)等优秀诊疗理念得以推广和实践。 第四方面,在内外科领域,药物治疗和手术治疗也是发展比较迅速。我国加速推进新药研发和医药服务创新,使更多药物尽快落地,惠及我国患者。相有关学协会积极组织形成了具有实践和指导意义的全程管理专家共识/指南,包括患者自身情况的评估、围手术期管理、治疗药物的选择、各线药物治疗方案、药物不良反应管理等。 关于结直肠癌全程管理未来的发展,需要以预防、规范化治疗和新药研发为抓手。 第一方面,预防是结直肠癌管理的第一步,未来有待在国家层面开展大规模的宣传教育,科普健康生活方式,令群众了解结直肠癌危险因素,从源头降低结直肠癌的患病风险。 第二方面,早筛早诊尽管已经取得显著成效,等仍需要深入基层,覆盖偏远贫困地区,使更多结直肠癌患者能够在早期发现,尽早干预,提升结直肠癌患者整体生存和预后。 第三方面,结直肠癌诊疗规范有待进一步提升,尤其需要在基层医疗单位加强规范化诊疗的理念。 第四方面,精准医学时代背景下,我们希望未来随着分子水平研究和精准医学研究的进展,在疗效监测和复发监测方面能使用更精准、更有价值的分子标志物动态监测。在手术前判断患者是否需要先做辅助化疗,在手术后判断是否需要进行复发监测,通过分子标志物可以更早地提示未来是否会复发,是否需要提前干预,如果复发,分子标志物可以再次作为监测指标指导治疗。 第五方面,我们还需加大研发力度,开发更多新机制、新靶点的药物,进一步提升晚期结直肠癌的疗效。 Q2 长期以来,化疗始终是肿瘤治疗领域的基石。其中,曲氟尿苷替匹嘧啶片(TAS-102)作为新型口服化疗药,问世以来不断为结直肠癌领域打开新的治疗格局,请您谈谈该药在中国的上市是基于怎样的研究成果? TAS-102在中国的获批是基于国际多中心 RECOURSE 研究和亚太TERRA研究的结果。RECOURSE研究是TAS-102的国际多中心Ⅲ期临床研究,显示TAS-102较安慰剂显著延长中位OS时间(7.1个月对比5.3个月)和中位PFS时间(2.0个月对比1.7个月),死亡风险和疾病进展风险分别降低32%和52%。此后,有众多中国临床专家参与的TERRA研究,证实了TAS-102在亚洲人群的安全性和有效性,TERRA研究重复出了RECOURCE研究的结果,TAS-102组患者的中位OS时间(7.8个月对比7.1个月)和PFS时间(2.0个月对比1.8个月)得到显著改善,死亡风险和疾病进展风险分别降低21%和57%。这两项关键研究成功改写了包括ESMO、NCCN、CSCO等中外权威指南的推荐。 而且,这两项研究中,TAS-102的不良反应均以血液学毒性为主,有症状的不良反应发生率低。鉴于其良好的安全性和耐受性,TAS-102与其他药物联合用于肠癌也在研究中进行了探索并取得了不错的结果。 Q3 晚期结直肠癌的发生通常预示着预后相对较差、患者生存期不长,但依然有治愈的可能,这关系到临床治疗用药方案的决策。今年上半年发布的CACA-RC指南推荐不适合强烈治疗患者应用TAS-102联合贝伐珠单抗,作为晚期不可切除结直肠癌姑息一线治疗方案。请您谈谈该推荐治疗对我国晚期不可切除结直肠癌的临床治疗产生了怎样的影响? 晚期转移性结直肠癌的标准化疗方案在指南中是以奥沙利铂或伊立替康为基础的FOLFOX和FOLFIRI方案,在此基础上,可以联合西妥昔单抗或贝伐珠单抗,但是,依旧有部分患者身体状况无法耐受加强化疗,少数患者因为高敏可能出现药物过敏,针对这一类患者,治疗方案的选择非常有限且预后情况并不理想。临床上往往推荐口服化疗药物+贝伐珠单抗方案。 2022年CACA-RC指南基于TASCO1研究的结果,推荐拒绝静脉化疗或不能耐受强烈治疗、易敏的晚期肠癌患者姑息一线选择TAS-102+贝伐珠单抗方案。TASCO1研究是一项旨在随机比较TAS-102+贝伐珠单抗和卡培他滨+贝伐珠单抗在一线治疗不可接受强烈治疗的不可切除转移性结直肠癌的Ⅱ期研究。研究结果显示:TAS-102组延长患者mPFS时间1.41个月(9.23个月对比7.82个月);延长患者mOS时间4.64个月(22.31个月对比17.67个月)。安全性分析也提示TAS-102+贝伐珠单抗治疗具有良好的耐受性,它最常发生的3/4级不良事件是中性粒细胞减少症。严重的发热性中性粒细胞减少症发生率约为4%。TAS-102+贝伐珠单抗方案因其高效、低毒的特点为不适合强烈治疗的转移性结直肠癌患者及老年患者带来了新的希望,其疗效与生存获益令人期待。 Q4 近年来,结直肠癌领域联合治疗的研究探索不断取得进步。请您谈谈,还有哪些研究进展为TAS-102联合贝伐珠单抗奠定一线治疗地位打下基础? 近年来,多项临床研究不断为TAS-102的临床可及性打下良好基础,DANISH研究将TAS-102与贝伐珠单抗联合用于转移性结直肠癌二线及以上治疗,发现联合组较TAS-102单药组疗效更好,中位PFS时间(4.6个月对比2.6个月)和OS时间(9.4个月对比6.7个月)显著延长,且联合组安全性可控,未出现非预期的不良反应。日本C-TASK-FORCE研究和欧洲DANISH研究均显示,对于PS为0~1分的转移性结直肠癌患者,TAS-102+贝伐珠单抗三线治疗实现了超过4.5个月的中位无进展生存期(PFS),超越了既往单药三线治疗的总体水平,且未显著增加不良事件(AEs)。TAS-102+贝伐珠单抗4周方案治疗转移性结直肠癌显示了良好的抗肿瘤活性。日本BiTS研究确证了双周方案可在不影响疗效的前提下,明显降低中性粒细胞减少症发生率。日本KSCC 1602研究和欧洲TASCO1研究都成功探索了FTD/TPI+贝伐珠单抗用于转移性结直肠癌一线治疗的疗效和安全性。 二 病例分享 专家简介 任海朋 主任 潍坊市人民医院 潍坊市人民医院肿瘤内科副主任,副主任医师 中国抗癌协会肿瘤微创治疗专业委员会委员 中国抗癌协会肿瘤消融治疗专业委员会委员 山东省健康管理协会消化道肿瘤防治分会副主任委员 山东省抗癌协会青年理事会常务理事 山东省医学会肝脏肿瘤多学科联合委员会委员 山东省抗癌协会消化道肿瘤分会委员 潍坊市医学会结直肠癌多学科联合专委会副主任委员 潍坊市医学会肿瘤微创治疗专业委员会副主任委员 潍坊市医师协会肿瘤化疗医师分会副主任委员 肖海凤 医师 潍坊市人民医院 潍坊市人民医院肿瘤内科主治医师,硕士 山东省抗癌协会化疗分会青年委员会委员 山东省疼痛医学会癌痛与姑息治疗专业委员会委员 山东省医学会科学普及分会肿瘤科普学组委员 山东省医学会精准医学分会消化道肿瘤学组委员 潍坊市医学会化疗专业委员会委员兼秘书 潍坊市抗癌协会乳腺癌专业委员会委员 潍坊市抗癌协会妇科肿瘤分会委员 潍坊市医学会第三届肛肠外科专业委员会青年学组委员 01 基本情况 基本情况:史xx,女,57岁,既往体健,无特殊病史,无家族史。 简要病史: 2020.1 患者出现大便带血,为暗红色,与大便相混,伴大便次数增多3~4次/天,大便不成形,伴肛门坠胀及里急后重感。 2020.4 就诊于潍坊市人民医院消化内科门诊,行肠镜示距肛门10cm环周隆起性病变,肠腔狭窄,镜身不能通过,考虑直肠癌,活检病理示腺癌(中分化)。 2020.4.16 就诊于我院肛肠外科一区,行胸腹盆部CT提示乙状结肠占位,考虑肿瘤,盆腔肿大淋巴结,双肺多发转移瘤。 诊断:直肠癌(cT3N+M1a,IVa期)。 2020.4.18 肺多发转移(CT) 2020.4.18 直肠原发灶(CT) 2020.5.12 基因检测 KRAS:Exon2、Exon3无突变;NRAS:Exon2、Exon3 无突变;BRAF:Exon15(V600E)无突变。UGT1A1*28:TA6/7,UGT1A1*6:G/G。MSS。 02 治疗经过 因直肠原发灶进镜困难,肠腔狭窄,发生肠梗阻风险较大,建议先行原发灶切除,后行全身抗肿瘤治疗。 2020.4.23 行直肠癌根治术(前切除术)+回肠预防性造口术+肠粘连松解术。 术后病理 一线治疗经过 2020.5.18至2021.1.31 行奥沙利铂甘露醇注射液225mg d1+卡培他滨1.5g bid d1-14方案化疗8周期。 不良反应:胃肠道反应不著,骨髓抑制最重2度。 疗效评价:5周期后疗效评价为PR,8周期后疗效评价为PD。 双肺转移灶(一线) 二线治疗经过 入住我科,ECOG 0分,身高159cm,体重65kg,体表面积1.64m2。 2021.3.9、2021.3.29、2021.4.12、2021.5.6、2021.5.25、2021.6.21、2021.7.9、2021.7.28、2021.8.15行西妥昔单抗800mg d1+伊立替康300mg d2+氟尿嘧啶650mg iv,4000mg civ 46h+左亚叶酸钙325mg d2化疗9周期。 不良反应:胃肠道反应不著,骨髓抑制2度。 疗效评价:缩小的SD。 双肺转移灶(二线) 三线治疗经过 2021.9至2022.5.6 口服呋喹替尼5mg qd d1-21 q28d治疗。 不良反应:高血压病1级,轻度肝功损伤。 疗效评价:2个月后疗效评价PR,7个月后肺内病灶增大,肝内出现新发病灶,疗效评价PD。 双肺转移灶(三线) 肝脏(新发病灶) 四线治疗经过 2022.5至今 开始应用贝伐珠单抗300mg d1联合TAS-102 55mg bid d1-5双周治疗。 不良反应:高血压2级,继发性甲状腺功能减退,白细胞减少I度,中性粒细胞减少2度,贫血1级。 疗效评价:PR。 03 病例小结 04 心得体会 TAS-102是一种新型口服细胞毒药物,是口服的氟尿嘧啶类药物,作用机制不同于氟尿嘧啶,可用于氟尿嘧啶耐药患者。 国际RECORSE和亚太TERRA研究证实,TAS-102在mCRC治疗中具有一致的疗效和安全性:1.显著延长mCRC患者生存期,降低死亡和疾病进展风险,尤其对于≥65岁患者获益更显著;2.显著延缓体能下降,为持续治疗提供体能储备;3.主要不良事件为血液学毒性。 双周TAS-102联合贝伐单抗不仅不降低疗效,而且明显降低中性粒细胞减少症发生率。 *本文仅代表专家观点,并经专家审校。












